Желтые зубы у ребенка
Желтые зубы у ребенка могут быть вызваны теми же причинами, что и взрослых, однако странно выглядит, если зубы сразу прорезываются желтыми.
- Конечно, дело может быть в наследственности, однако если желтизна слишком сильная, это говорит о некоторых патологиях;
- Чаще всего зубы у детей бывают желтыми, если во время беременности мать принимала антибиотики тетрациклиновой группы. В этом случае зубы останутся желтыми на всю жизнь;
- Также желтизна зубов может быть связана с ослабленной эмалью, если во время беременности ребенок недополучил всех нужных микроэлементов;
- Также у ребенка зубы часто желтеют просто потому, что родители не уделяют их гигиене достаточно внимания. Нужно следить за зубками ребенка с самого их прорезывания и чистить их.
Актуальные акции стоматологий
30%
Предложение ограничено
Подробнее
5%
Предложение ограничено
Подробнее
Предложение ограничено
Подробнее
Предложение ограничено
Подробнее
Предложение ограничено
Подробнее
Предложение ограничено
Подробнее
25%
Предложение ограничено
Подробнее
Предложение ограничено
Подробнее
Предложение ограничено
Подробнее
Предложение ограничено
Подробнее
Предложение ограничено
Подробнее
Предложение ограничено
Подробнее
Предложение ограничено
Подробнее
Предложение ограничено
Подробнее
10%
Предложение ограничено
Подробнее
10%
Предложение ограничено
Подробнее
10%
Предложение ограничено
Подробнее
25%
Предложение ограничено
Подробнее
Предложение ограничено
Подробнее
Предложение ограничено
Подробнее
25%
Предложение ограничено
Подробнее
15%
Предложение ограничено
Подробнее
20%
Предложение ограничено
Подробнее
Предложение ограничено
Подробнее
Предложение ограничено
Подробнее
Предложение ограничено
Подробнее
Предложение ограничено
Подробнее
Предложение ограничено
Подробнее
Предложение ограничено
Подробнее
5%
Предложение ограничено
Подробнее
Предложение ограничено
Подробнее
Предложение ограничено
Подробнее
20%
Предложение ограничено
Подробнее
Предложение ограничено
Подробнее
Предложение ограничено
Подробнее
Предложение ограничено
Подробнее
Предложение ограничено
Подробнее
Осталось: 10 месяцев
Подробнее
Предложение ограничено
Подробнее
Предложение ограничено
Подробнее
Предложение ограничено
Подробнее
20%
Предложение ограничено
Подробнее
Предложение ограничено
Подробнее
Предложение ограничено
Подробнее
Профессиональная чистка зубов у ребенка
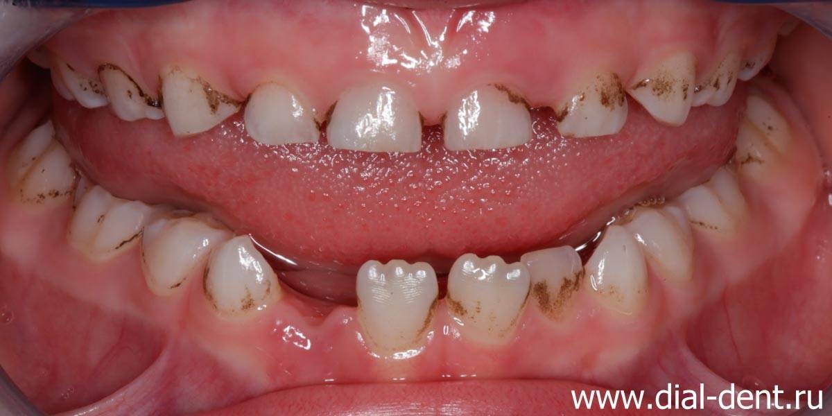
На зубы нанесен индикатор зубного налета, который показывает, где налет задерживается надолго.

У гигиениста ребенок первый раз за свои 6 лет, поэтому удалять зубной налет пришлось ультразвуком, специальными пастами этот налет не удалялся. Удаление зубного налета проходило с перерывами, чтобы ребенок отдохнул. Если темный налет на зубах у ребенка удалять каждые полгода, то он убирается щеточкой с абразивной пастой, что легче для ребенка и требует меньше времени.
После чистки на зубы нанесен крем Tooth Mousse (Тусс Мусс) в капе на несколько минут. Крем Тусс Мусс содержит активные фосфор и кальций, необходимые для укрепления эмали зубов минеральными веществами и профилактики кариеса.
После профессионального удаления зубного налета зубы стали абсолютно чистыми.

Причины возникновения черного налета
Причинами появления потемнений бактериального происхождения является скопление и размножение пагубной микрофлоры. Микробы в полости рта находятся постоянно и в большом количестве. Всего через 6 часов после тщательной чистки зубов на их поверхности появляется налет. Почему бактерии начинают активно размножаться практически сразу после приема пищи? Для роста бактерий достаточно легкой пленки, состоящей из белков, углеводов и жиров. После употребления сладкого процесс размножения микробов ускоряется.
Сразу после появления бактериального налета на шейках зубов начинается его постепенная минерализация. Мягкие отложения легко счищаются при помощи щетки и нити. Через 10-16 часов бактериальный слой твердеет, но имеет еще рыхлую структуру. Его тяжело снять щеткой.
Если минерализованный налет не убрать, на его поверхности нарастают новые отложения, быстро увеличивающиеся в объемах и меняющие цвет зубов. Белые зубы постепенно превращаются в желтые или коричневые. Кроме плохой гигиены на усиленное образование коричневого налета могут влиять болезни внутренних органов, гормональный фон, низкое содержание лизоцима в слюне.
Для предупреждения потемнения зубов необходима тщательная чистка ротовой полости специальными пастами, применение антисептических растворов для полоскания, использование флосса.
Время между гигиеническими процедурами не должно превышать 16 часов, чтобы избежать затвердения налета. Именно поэтому стоматологи рекомендуют чистить зубы не менее 2-х раз в день с внешней и внутренней стороны.
При табакокурении, употреблении черного чая и кофе смолы, соединения фенола, красящие пигменты и деготь, попадая на поверхность зубов, плотно сцепляются с ними, образуя тонкую пленку, к которой прилипают частички пищи, что способствует размножению бактерий. Налет слой за слоем оседает на поверхности зубов, чернея и превращаясь в камень (см. также: почему чернеют зубы и как этого можно избежать?).

Черный и коричневый налет на зубах формируется быстрее при недостаточной гигиене ротовой полости. Полифенол, содержащийся в чае, кофе, табачном дыме и в некоторых продуктах питания, крепится к уже имеющемуся налету — к чистой эмали такие соединения прилипают плохо и быстро смываются.
Налет на зубах у ребенка – консультация гигиениста
Налет на молочных зубах у детей бывает темного цвета. Этот темный налет никак не связан с дисбактериозом, как часто предполагают некоторые педиатры. Стоматологи знают, что темные пятна на зубах у ребенка – это налет Пристли. Налет Пристли у детей встречается лет до 8, а потом самостоятельно исчезает. Счищать налет Пристли домашними средствами не получается. Для удаления темного налета на молочных зубах рекомендуется обратиться к стоматологическому гигиенисту, который профессиональными методами (чистка Air Flow, ультразвук) удалит темные пятна на зубах не повредив эмаль.
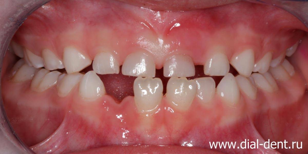
В данном случае родители ни разу не обращались для удаления темного налета на зубах у ребенка.
Вид зубов при обращении:

Гигиенист Семейного стоматологического центра «Диал-Дент» Татьяна Кондратьева объяснила родителям, почему у ребенка темный налет на зубах (налет Пристли). Появление коричневого налета на зубах у ребенка связано с избыточным количеством пигментных бактерий во рту. Назначаемое педиатрами лечение дисбактериоза в случае налета Пристли бесполезно. После 8 лет налет Пристли самостоятельно исчезает. Профессиональная чистка зубов необходима не только для устранения темных пятен на зубах у ребенка, но и для поддержания чистоты зубов, предотвращения скоплений зубного налета в труднодоступных местах и профилактики кариеса.
Также гигиенист обратила внимание родителей на то, что у ребенка началась смена зубов с молочных на постоянные. Нижние центральные резцы у ребенка – это уже постоянные зубки и ухаживать за ними надо тщательно
Между зубами заметны щели, так как челюсти начали расти для нормального прорезывания постоянных зубов.
В норме постоянные зубы от молочных отличаются:
- по размеру – постоянные зубы крупнее молочных;
- по цвету – постоянные зубы, к сожалению, всегда темнее (желтее, чем молочные зубы) – это норма;
- по форме – на резцовой поверхности центральных зубов есть 3 бугорка – мамелоны, они с возрастом сотрутся и зубы будут ровными.
Многие родители пугаются, что постоянные зубы вырастают более желтыми, крупными и с неровным краем, чем были молочные. Пугаться не надо, но в период смены прикуса у ребенка обязательно надо проконсультироваться у ортодонта, чтобы вовремя заметить начинающееся нарушение прикуса и принять профилактические меры.
Способы удаления зубного налета
Стоматологи не рекомендуют использовать отбеливание эмали зубов на дому, так как это может нанести вред их здоровью и состоянию. Частичная ликвидация данного эстетического дефекта возможна при помощи отбеливающих зубных паст. Результаты такого очищения могут зависеть от состояния десен и зубной эмали, цвета налета, индивидуальных особенностей организма пациента и его образа жизни. Подбор зубной пасты должен оставаться за стоматологом.
Избавиться от зубного налета на дому поможет российская зубная паста Мексидол Дент, в основе которой – мексидол и кальция цитрат. Она обладает следующими достоинствами:
- Восстановление оттенка эмали без ухудшения ее состояния;
- Отсутствие в составе фтора;
- Стабилизация кислотно-щелочного баланса;
- Предотвращение повторного накопления зубного налета;
- Отсутствие в составе хлоргексидина, уничтожающего патогенную и полезную микрофлору ротовой полости и влияющего на снижение устойчивости иммунной системы;
- Тщательное и щадящее удаление зубного налета благодаря папаину – природному ферменту, содержащемуся в плодах ананаса, киви, папайи, манго.
Способ удаления зубного налета
Для ликвидации зубного налета применяются современные технологии, в том числе ультразвук.
Удаление зубного налета при помощи зубной щетки и нити
Для того чтобы провести тщательную чистку зубного налета, необходимо соблюдать следующие стоматологические рекомендации:
- Одновременный охват зубной щеткой не более двух зубов;
- Мягкое воздействие на поверхность зубов для профилактики травматизма;
- Очищение жевательной, внутренней и внешней стороны зубов с помощью коротких движений, направленных вниз и вверх;
- Тщательное очищение передних зубов при помощи вертикальных движений, направленных сверху вниз;
- Расположение щетки под углом 45° по отношению к деснам;
Специалисты рекомендуют чистить нижние зубы по направлению сверху вниз, а верхние зубы – снизу вверх. Очищение зубного налета подразумевает применение зубных паст, содержащих фтор, и зубной нити. Необходимо также очищать поверхность языка и щек. Зубная щетка должна быть с мягкими закругленными щетинками и иметь размер, допускающий обработку зубов мудрости. Необходимо менять зубную щетку раз в 3 месяца, даже если она еще не износилась.
С целью механического удаления зубного налета с поверхности языка необходимо обзавестись специальным скребком или щеткой (иногда используют ложку). При выборе флосса (зубной нити) нужен индивидуальный подход. При плотном зубном прилегании отдается предпочтение плоской нити, при больших зубных промежутках – круглой нити, при разном пространстве между зубами стоит выбрать суперфлосс. Выбор вощеной или невощеной зубной нити остается за пациентом. При артрите специалисты рекомендуют использовать катушку или специальный держатель нити.
Удаление зубного налета ультразвуком
Ультразвуковое очищение зубного налета – профессиональная процедура, не вызывающая болезненных ощущений и отбеливающая эмаль зубов. Выполняется при помощи скалеров – специальных отбеливающих аппаратов, действующих за счет генератора, который создает и передает на наконечник ультразвуковые волны, разрушающие твердые отложения на зубах.
Ультразвуковое удаление зубного налета дополняется постоянной подачей через наконечник воды или антисептического препарата с целью охлаждения зубной поверхности и используемого прибора, а также для смывания удаленного налета для профилактики его попадания в область пародонтальных карманов. В конце процедуры специалист выполняет полировку зубов для удаления мелких шероховатостей при помощи специальных составов и щеточки.
Амплитуда и частота используемого для снятия зубного налета ультразвука подбирается в индивидуальном порядке с опорой на уровень загрязнения эмали зубов. Подобная процедура рекомендована для проведения как минимум 1-2 раза в год. К отрицательным моментам ультразвукового снятия зубного налета относится появление боли у пациентов с низким порогом болевой чувствительности или в момент обработки поддесневой области. Данная проблема решает использованием обезболивающих средств.
Специалисты не выполняют ультразвуковое удаление зубного налета в следующих случаях:
- Детский возраст пациента;
- Период беременности и лактации;
- Наличие зубных имплантатов;
- Частые простуды пациента;
- Наличие заболеваний, передающихся гемотрансфузионным и контактным путем;
- Нарушения работы сердечно-сосудистой системы, наличие кардиостимулятора.
Белые пятна на эмали: что собой представляют
Чаще белые пятна появляются на молочных зубах, реже – на постоянных. Специалисты их разделяют на два класса:
- кариозные – те, которые связаны с развитием кариеса;
- некариозные.
Белые участки на эмали свидетельствуют о ее дереминерализации. Может появиться также белесая линия у края десен передних зубов. В любом случае требуется консультация врача.
По сравнению с постоянными зубами, молочные более подвержены кариесу. Их эмаль тонкая и пористая, что позволяет бактериям легко проникать внутрь. Болезнь быстро прогрессирует, поэтому за короткий промежуток времени от зуба может ничего не остаться. Существует риск поражения зачатков «преемников». Эти факты опровергают мнение некоторых родителей на счет того, что не нужно лечить молочные зубы, поскольку они подлежат замене.
На что указывает цвет пятен на зубах
Пятна различаются по цвету: белые, желтые или черные. Цвет указывает на проблему со здоровьем. Давайте разберемся, о чем говорит каждый из цветов.
Белые пятна на зубах
Выделяют несколько причин появления белых пятен на зубах. Первая — деминерализация эмали (уменьшение количества минералов и солей в эмали и костной ткани). Этот процесс происходит по 3 причинам:
- отрицательное влияние окружающей среды (расположенные близко заводы, фабрики, ТЭЦ),
- недостаток витаминов и минералов в пище,
- недостаточная гигиена полости рта.
Белые пятна на зубах появляются на начальном этапе деминерализации. Затем болезнь развивается: зубы становятся матовыми и шершавыми, теряют блеск. Налет скапливается еще активнее, размножаются бактерии, и разрушаются зубы. В этом случае нужна помощь стоматолога, который поставит диагноз и начнет лечение.
Гипоплазия эмали (недоразвитие эмали зуба) — еще одна причина белых пятен на зубах. Болезнь появляется как на молочных, так и на постоянных зубах. Эмаль покрывается белыми или коричневыми пятнами, бороздками и углублениями. В них скапливается налет, и становится причиной появления кариеса.
Белые пятна на зубах можно обнаружить после снятия брекетов. Эта система для исправления прикуса мешает качественной чистке зубов и ограничивает человека в некоторых полезных для эмали продуктах.
На начальной стадии кариеса белые пятна — это первый признак, помогающий опознать болезнь. Многие люди не обращают внимания на светлые точки на зубах, думая, что кариес бывает только черным или коричневым. Это ошибка. Ведь на этой стадии избавляются от кариесогенных бактерий без бормашины (при помощи технологии Icon).
Желтые пятна на зубах

Еще одно отклонение — это пятна желтого цвета. С ними встречаются чаще, чем с белыми, и некоторые причины на слуху: курение, кофе, чай, алкоголь, нарушение гигиены полости рта. Однако есть причины, из-за которых возникают желтые пятна на зубах:
- Потемнение эмали после удаления корня зуба. Эмаль желтеет изнутри, и отбеливающие пасты не исправят ситуацию.
- Воздействие лекарств (например, некоторые антибиотики) или недостаток витаминов.
- Некоторые заболевания в острой и хронической форме (например почечная недостаточность, желтуха, болезни крови или пищеварительного тракта, нарушение работы щитовидной железы).
- Зубы желтеют с возрастом. Эмаль стирается и становится виден желтый дентин.
- Работа на вредном производстве.
Коричневые и черные пятна на зубах
Причины появления коричневых и черных пятен схожи с уже названными. Среди них:
- влияние продуктов (кофе, чая, вина) и курения,
- ношение брекетов,
- заболевания желудочно-кишечного тракта,
- длительный прием медикаментов.
Кроме этого, темные пятна на зубах возникают из-за эрозии зубной эмали, травм передних зубов (из-за гематомы ткани пульпы чернеет зуб), кариозного поражения эмали.
Нормальный вид, строение и функции неба
Небо – это верх ротовой полости в виде купола или свода, разграничивающая ее от носовых проходов. Небо разделено на две части:
- твердое – в основании костная пластина, покрытая слизистой оболочкой;
- мягкое – это покрытые слизистой оболочкой мышцы, поднимающие небную занавеску в процессе глотания и опускающие во время дыхания.
Функции неба:
- защита дыхательных путей;
- участие в процессе жевания;
- помощь в формировании звуков речи.
В норме обе части неба нежно-розового оттенка. При заболеваниях носоглотки происходит покраснение слизистой. Возможно появление багрового или синюшного оттенка. Приобретение небом желтого цвета у ребенка или взрослого свидетельствует о наличии патологии.
Причины желтых зубов
Специалисты отмечают, что детский организм, который только начинает нормально функционировать, переживает влияние множества негативных внешних факторов. В комплексе они могут привести к разным нарушениям. Стоматологи выделяют ряд причин, по которым у ребенка на зубах может образовываться желтый налет, а именно:
- неправильный рацион питания;
- медикаментозное лечение;
- недостаточная гигиена;
- внутренние заболевания;
- врожденные проблемы;
- наследственность.
Если говорить о еде, то питание, как взрослого человека, так и ребенка, должно быть сбалансировано. Нельзя, конечно, лишать чадо вкусных, но не слишком полезных продуктов, например, сладостей. Но, всё же, в детском рационе должны преобладать фрукты и овощи, в том числе и сырые. Помимо того, что они богаты витаминами и минералами, жизненно необходимыми для здорового и полноценного развития организма, они также механически очищают зубки от различного налета.
Чем меньше в пище красителей, химикатов и сахара, тем она полезнее и безопаснее для ребенка. Чем более пища обработана и далека от первоначального своего состояния (полуфабрикаты, колбасы, сладости, мучные изделия), тем хуже она влияет на зубы и десна.
Некоторые антибиотики и другие лекарственные препараты могут способствовать окрашиванию зубов. Длительный прием лекарств – это риск того, что эмаль может пожелтеть. Как правило, после завершения курса лечения организм самостоятельно очищает зубы. И через какое-то время улыбка малыша снова белоснежная.
Следующая причина, по которой могут появляться желтые пятна на зубах у годовалого ребенка и старше, – это неправильная гигиена рта. Если ею пренебрегать, то на зубах у малыша может образовываться мягкий налет. Именно он дает желтоватый оттенок. Кроме того, он является благотворной средой для размножения различных бактерий, которые могут привести к появлению кариеса и других крайне неприятных проблем в ротовой полости.
Если ребенок не приучен чистить зубы тщательно и регулярно, это будет причиной множества проблем в последующем. Одной из важнейших задач родителей является привитие ребенку привычки постоянного ухода за собственной ротовой полостью. Малыш должен уметь чистить зубки, знать, когда это надо делать, и быть ознакомленным с основными правилами гигиены полости рта с самого раннего детства! А родителям следует контролировать ненавязчиво процесс чистки зубов – совершать эту гигиеническую процедуру вместе; завести привычку улыбаться после того, как почистили зубы, чтобы посмотреть, справился ли малыш с поставленной перед ним задачей и т.д.
Часто пожелтение зубов сигнализирует о внутренних проблемах в организме. Например, о проблемах с обменом веществ, нарушениях в работе желудочно-кишечного тракта или щитовидной железы. Если зубки пожелтели резко, и это не связано с приемом медикаментов или ухудшением питания, – обратитесь к врачу. Он выявит причину пожелтения эмали.
Часто причины, из-за которых у ребенка жевательные зубы или резцы желтые, носят врожденный характер. Если у вас или ваших родственников желтая эмаль зубов, и это не связано с заболеваниями или недостаточной гигиеной, возможно, такой цвет является наследственным.
Пожелтеть зубки у малыша могут, если во время беременности у матери:
- развивались патологии;
- были инфекционные заболевания;
- наблюдались сильные проявления токсикоза;
- был несбалансированный рацион питания.
Кроме того, повышают вероятность пожелтения зубов у маленького ребенка такие факторы, как:
- недоношенность младенца;
- конфликт резус-факторов матери и ребенка во время беременности;
- родовые травмы;
- гемолитические патологии.
Если в организме нарушается по каким-либо причинам формирование эмали или дентина (слоя зубов, который находится под эмалью и имеет желтоватый оттенок), то это, вероятно, приведет к окрашиванию молочных и даже постоянных зубов. Это может произойти, если по каким-либо причинам слой эмали на зубках будет слишком тонким, «просвечивающим».
Коричневый зубной налет
Коричневый зубной налет особенно часто встречается у пациентов, злоупотребляющих курением, а также потребляющих большое количество крепкого чая и кофе. Красящие ингредиенты в напитках и смолы в сигаретах способствуют формированию специфической пленки, практически не поддающейся удалению посредством гигиенических процедур на дому.
Сбои в обмене веществ обеспечивают попадание железа в слюну пациента, где из потребляемой пищи вырабатывается коричневая соль. Это приводит к формированию коричневого налета.
К числу причин появления коричневого зубного налета специалисты относят:
- Попадание свинцовых или ртутных паров;
- Выявление кислотного некроза зубов у пациента;
- Полоскание полости рта раствором перманганата калия;
- Вдыхание никелевых, железных или марганцевых паров;
- Возникновение резус-конфликта беременной женщины и плода. Кроме того, эмаль ребенка может иметь коричневый цвет при разрушении эритроцитов;
- Длительное влияние раствора йода или хлорированной влаги на организм пациента.
Коричневый зубной налет
Коричневый зубной налет поддается удалению только стоматологическими методиками. Его удаление включает внешнее очищение зубов, а также выявление и устранение первопричины.
Мнение специалистов
Эффективная комбинация «аминофторид + ксилит» в составе пасты способствует укреплению зубной эмали и повышает устойчивость зубной эмали к воздействию бактерий и кислот.Комплекс растительных экстрактов поддерживает здоровье дёсен. Мягкие абразивы дают возможность осуществлять тщательную гигиену полости рта, при этом не травмируя эмаль зубов.
Серия средств АСЕПТА отличается доказанной клинически эффективностью. Результаты исследований зубных паст, салфеток, ополаскивателей, бальзамов и других средств АСЕПТА регулярно публикуются на нашем сайте. Действие выпускаемых средств проверяется в собственной лаборатории в научно-исследовательском центре ВЕРТЕКС. Вся продукция имеет сертификаты соответствия.
Клинические исследования антисенситивной зубной пасты «Асепта Сенситив» ( А.А. Леонтьев, О.В. Калинина, С.Б. Улитовский )
А.А. ЛЕОНТЬЕВ, врач-стоматолог О.В. КАЛИНИНА, врач-стоматолог С.Б. УЛИТОВСКИЙ, д.м.н., проф.
Кафедра терапевтической стоматологии СПбГМУ им. акад. И.П. ПавловаКлинический опыт применения серии средств «Асепта»
Фукс Елена Ивановна ассистент кафедры терапевтической и детской стоматологии
Государственное бюджетное образовательное учреждение высшего профессионального образования Рязанский государственный медицинский университет имени академика И.П. Павлова Министерства здравоохранения и социального развития Российской Федерации (ГБОУ ВПО РязГМУ Минздравсоцразвития России)
Как образуется налет на зубах
Зубной налет делится на два типа — мягкий и плотный. Мягкий налет есть абсолютно у всех людей, в том числе у маленьких детей — остатки пищи, которые скапливаются на поверхности зубов, являются идеальной средой обитания и размножения патогенных микроорганизмов, живущих во рту. Если вовремя не принять меры по удалению мягкого налета, то он в скором времени станет более темным и плотным.
Принято выделять три стадии формирования налета на зубах.
- Первая стадиядлится первые 4 часа после проведения гигиенических процедур. На этом этапе сохранившиеся после чистки зубов бактерии начинают размножаться.
- Вторая стадиянаступает в течение 4–7 часов, и за это время количество микробов увеличивается в 10 раз. Микроорганизмы крепятся к поверхности зубов с помощью мягкой биопленки. Кислоты, которые начинают выделять бактерии в процессе жизнедеятельности, разрушают эмаль.
- Третья стадиянаступает через 6–7 часов. Налет полностью сформирован и виден на зубах невооруженным глазом.
Почему у детей налет на зубах?
Кроме недостаточной гигиены и начала кариозных образований, следует выделить следующие причины налета на зубах:
- неправильное питание;
- проблемы с желудочно-кишечным трактом;
- длительный прием лекарств;
- нарушение структуры эмали вследствие механического повреждения или заболеваний;
- нарушения обмена веществ.
От характера питания ребенка напрямую зависит состояние его зубов. Недостаток кальция и фосфора в рационе приводит к пожелтению эмали. Отсутствие твердых продуктов, которые можно тщательно жевать, будет способствовать скоплению налета. Наличие в меню газировки, фаст-фуда, сладкого и мучного приводит, помимо всего прочего, к слабости эмали.
Проблемы с желудком, кишечникам, с пищеварительными железами могут стать причиной образования сильного налета на зубах у ребенка. К примеру, дисбактериоз вызывает желтизну эмали и неприятный запах изо рта. Проблемы с ЖКТ необходимо решать у гастроэнтеролога.
Окрашивание эмали часто происходит из-за приема лекарств, к примеру, антибиотиков или препаратов против железодефицитной анемии. В норме после их отмены зубки постепенно восстанавливают естественный цвет.
Если эмаль имеет неровную структуру (на ней трещина, скол, флюороз и прочее), на ней быстрее «закрепляются» бактерии, которые могут вызывать потемнение и скопление налета. Любые проблемы такого плана лечатся у стоматолога.
При нарушении обмена веществ также наблюдается образование налета на зубках, изменение цвета эмали, можно выявить изменение цвета языка. Все эти признаки ー повод обратиться к врачу. Только он назначит адекватное лечение, способствующее регуляции метаболизма и как следствие ー восстановлению белизны зубов.
Как очистить налет на зубах у ребенка?
Если налет вызван нерегулярной или недостаточно тщательной чисткой зубов, вам стоит заострить на этом внимание, контролировать действия малыша, а если у вас ребенок постарше ー рассказать ему о необходимости ухода за собой. Также не стоит забывать, что дети учатся на примере взрослых
Пасты «АСЕПТА» помогут приучить малыша к гигиене без принуждения. Они очень вкусные, дети с удовольствием чистят ими зубки.
Если вы понимаете, что проблема не в плохой гигиене, обратитесь к стоматологу. Только он сможет оценить состояние зубов и назначить эффективное лечение. Если проблема связана с кариесом, он проведет пломбировку (детям старше 2 лет), посоветует серебрение или фторирование.
Существуют также методы аппаратной чистки зубов, к примеру, ультразвуковой, струйный и тому подобное. Они назначаются детям старше 8-10 лет, имеют ряд противопоказаний.
Профилактика проблем с эмалью зубов
Естественно, профилактикой образования налета служат:
- чистка зубов 2 раза в день специализированными пастами;
- полноценное разнообразное питание;
- посещение стоматолога 2 раза в год для осмотров.
Использование правильно подобранных средств минимизирует риск возникновения проблем с зубами. Деткам, у которых зубки только появились, рекомендуется очищать полость рта от налета салфетками-напальчниками. Салфетки Асепта Baby содержат пантотенат кальция, питающий неокрепшую эмаль, ксилит, защищающий от кариеса, экстракты лекарственных трав, мягко обеззараживающих полость рта. Рекомендованы для детей с момента появления первых зубов, можно использовать для очищения и массажа десен с 0 лет. Удобны в использовании и просто незаменимы на прогулках, в поездках или при посещении гостей.
Используйте только качественную продукцию для заботы о близких! Покупайте средства Асепта и будьте здоровы!
Профилактика налета на зубах
Известный факт, что предотвратить болезнь легче, чем ее лечить. Для того чтобы темный налет на детских зубах не появился, и на фото ребенок всегда мог смело улыбаться необходимо соблюдать элементарные правила:
ЧИТАЕМ ТАКЖЕ: причины черного налета на зубах у детей
- Гигиена полости рта. С самых ранних лет следует научить ребенка правильно и регулярно чистить зубы. Нежелательно также после этого крохе пить чаи, молоко или соки.
- Своевременное отлучение от соски и бутылочки.
- Присутствие фруктов и овощей в рационе. Яблоко, груша и морковь способствуют самоочищению зубов.
- Нормальный питьевой режим. Во рту ребенка не должно быть сухо, так как слюна незаменима при борьбе с бактериями.
Зубики у малышей до годовалого возраста также могут подвергаться коричневому налету. Избежать лечения молочных зубов у крохи можно при помощи профилактики, которая включает в себя чистку зубов. До 1 года ее следует производить при помощи силиконового напальчника, после зубной щеткой и специальным порошком (рекомендуем прочитать: какие бывают электрические зубные щетки для детей от 7 лет?). Для изготовления последнего необходимо в растертую таблетку кальция глицерофосфата добавить лимонный сок. Также можно использовать зубные детские пасты с определенным составом. Еще одним эффективным средством профилактики является полоскание отварами ромашки, шалфея, календулы или коры дуба.
ИНТЕРЕСНО: в каком возрасте у детей проходит процесс выпадения молочных зубов?
Стадии пятен кариеса
Стоматологи различают несколько стадий поражения одного или нескольких зубов кариесом. Каждой стадии характерны определенные особенности, отличия и симптоматика.
Кариес в стадии белого пятна
При начальной стадии кариеса человек не испытывает никакого дискомфорта и не чувствует боли. Выявить патогенный процесс можно только по образовавшимся на поверхности зубов белым пятнышкам. Хоть с первого взгляда зуб кажется абсолютно здоровым, но при появлении пятен в нем уже происходит процесс разрушения структурных тканей.
Появившиеся на эмали пятна в начальной стадии имеют белесый оттенок и небольшие размеры, поэтому при визуальном осмотре они практически незаметны. Только профессиональный специалист способен выявить начало патогенного разрушения зубной эмали и своевременно провести лечение кариеса в стадии пятна.
Если же проигнорировать лечением, то со временем светлое пятнышко тускнеет, зубная эмаль утрачивает свой естественный блеск, становится хрупкой и рыхлой, и кариозный процесс все сильнее прогрессирует.
Важно! Если выявить развитие начальной формы кариеса, проявляющегося микроскопическими пятнышками, то можно избежать серьезного стоматологического лечения. Поэтому каждому человеку следует хотя бы 2 раза в год посещать стоматолога для профилактического осмотра ротовой полости и в частности состояния зубов
Черное пятно на зубах
Если проигнорировать появление белых пятнышек, то кариес постепенно переходит в следующую стадию темного пятна. Эта форма в сравнении с предыдущей является более серьезной и опасной.
Деминерализованные ткани очень быстро разрастаются, белые пятна становятся темными и все более заметными. Белый оттенок превращается в бурый или коричневый из-за попадания в пористую структуру эмали патогенных бактерий.
Болезнетворные микроорганизмы все активнее разрушают зубную поверхность и заболевание переходит в следующую стадию – поверхностный кариес, лечение которого более длительное и сложное.



































