Патогенез (что происходит?) во время Глиомы головного мозга:
Общепринятой и удобной классификацией, является классификация глиальных опухолей Всемирной организации здравоохранения (ВОЗ). В основу этой классификации легли четыре морфологических признака: ядерная атипия, фигуры митозов, микропролиферация эндотелия и области некрозов:
- I степень злокачественности (отсутствие признаков): пилоцитарная астроцитома (ювенильная), субэпендимальная гигантоклеточная астроцитома, плеоморфная ксантоастроцитома
- II степень злокачественности (один признак злокачественности, как правило клеточная атипия): диффузная астроцитома (фибриллярная, протоплазматическая, гемистоцитарная)
- III степень злокачественности (два признака из трех, исключая некрозы): анапластическая астроцитома
- IV степень злокачественности (три или четыре признака, но обязательно наличие некроза): мультиформная глиобластома
Так же глиомы можно разделить по локализации (по отношению к намету мозжечка)на две группы: субтенториальные и супратенториальные.
Глиомы обычно бывают единичными, наблюдаются главным образом в сером и белом веществе головного или спинного мозга, нередко близ центрального канала и в стенке желудочков. Редко глиомы встречают в периферических нервах, например, в n. acusticus; более часты глиомы сетчатки. Описаны отдельные случаи глиомы носа (вероятно в связи с hydrocephalocele), языка, задней доли гипофиза, легкого.
Величина глиомы колеблется от просяного зерна до большого яблока; форма чаще округлая, иногда веретенообразная. Опухоль растет медленно, годами, как правило (с чрезвычайно редкими исключениями) не метастазирует. На разрезе глиома имеет вид серовато-белого или розоватого узла; иногда же бывает тёмно-красного цвета; контуры опухоли обычно неотчетливы; нередко и микроскопически отграничить ткань опухоли от здоровых частей затруднительно, тем более, что по периферии глиомы часто наблюдают реактивные разрастания глии, некоторыми авторами трактуемые как инфильтративный рост опухоли. Очень редко глиомы растут за пределы вещества мозга, например прорастают мозговые оболочки, кости.
При микроскопическом исследовании глиомы находят, что они состоят из клеток невроглии с их отростками; переплет этих плазматических отростков с той или иной примесью волокнистой глии и составляет основу опухоли. Более плотные глиомы (g. durum) богаче волокнистой глией, клеток содержат мало, они беднее протоплазмой, и самые ядра их мелки; мягкие глиомы (g. molle) очень богаты клетками, ядра крупны, часто неправильны, содержание волокон незначительно; в виду большого сходства с саркомами их называют также глиопластическими саркомами. Иногда в глиоме обнаруживают гигантские глиозные клетки (Monstrezellen, Kolossalzellen нем. авторов) – так называемые гиганто-клеточные глиомы, иногда содержащие своеобразную зернистость и пигмент (пигментная глиома). Некоторые же глиомы оказываются построенными из тех клеток невроглии, которые принято выделять под названием астроцигпов; такие глиомы называют: астрома, астроцитома.
Глиомы с желатинозным отеком ткани называют миксоглиомами. Часто клетки и волокна в глиоме располагаются частоколом или рядами цепей, соединяющих собой отростки мягкой мозговой оболочки, ее сосуды; при этом возникают своеобразные лучистые, радиарные структуры, розетки; эти явления обычны для глиомы с вышеуказанными эпителиальными формированиями. Ганглиозные клетки и нервные волокна в окружности глиомы часто обнаруживают явления дегенерации, а с другой стороны, иногда наблюдается сохранность их даже внутри самой опухоли; этим вероятно объясняется частое несоответствие между клиническими симптомами выпадения и объемом или месторасположением опухоли. Особенностью глиом спинного мозга является с одной стороны склонность их распространяться по длине органа, что дает диффузное его утолщение, а с другой стороны наблюдается ясно выраженная наклонность к распаду, образованию полостей – так называемая глиоматозная сирингомиелия, или центральный глиоматоз.
Симптомы опухоли мозга у детей
Ограниченное внутреннее пространство черепа предназначено только для мозга и там нет места для чего бы то ни было еще. Поэтому по мере увеличения опухоли мозга у детей в черепе создается избыточное внутричерепное давление. Это давление может также создаваться из-за препятствования течению спинномозговой жидкости в мозге.

Связанные с этим симптомы включают:
- Головные боли;
- Припадки;
- Тошноту и рвоту;
- Раздражительность;
- Вялость и сонливость;
- Изменения особенности характера пациента и его умственной активности;
- Макроцефалию (увеличение объема головы) у детей, чья кости черепа еще не полностью срослись;
- Кома и смерть, при отсутствии лечения.
Могут также проявляться другие симптомы, например, при в опухоли в мозжечке дети могут испытывать трудности в движениях, ходьбе, координации. При опухоли возникшей возле оптических путей могут возникнуть зрительные изменения.

Лечение новообразований
Ранее было распространено убеждение, что стволовые новообразования не подлежат хирургическому лечению из-за того, что имеют инфильтративную природу и способны диффузно прорастать в стволовые элементы.
Несмотря на то, что среди всех стволовых структур большинство опухолей имеют диффузное прорастание, иногда встречаются отграниченные узловые образования, которые хорошо подлежат удалению. Перед тем, как выбрать тактику лечения и определиться с возможностью хирургического вмешательства, бальной нуждается в консультации нейрохирурга.
Предпочтительный способ устранения стволового новообразования мозга — максимально возможная резекция опухоли с минимальным повреждением структур головного мозга. Микронейрохирургические техники операции развиваются и дают шанс на более высокий уровень лечения.
Неоперабельными формами считаются почти 80% опухолевидных образования ствола мозга. Химиотерапия и лучевое лечение применяется в отношении иноперабельных форм, в предоперационном и послеоперационном периоде. Цитостатические средства применяются в комбинированной форме для выполнения химиотерапии. 75% пациентов получают облегчение симптомов от проведения лучевой терапии. Подавляющее большинство случаев заболевания заканчиваются смертью пациента. Радиоизотопное лечение позволяет продлить жизнь детей с подобными опухолями. На 2 года увеличилась длительность жизни 30% детей, прошедших радиотерапию.
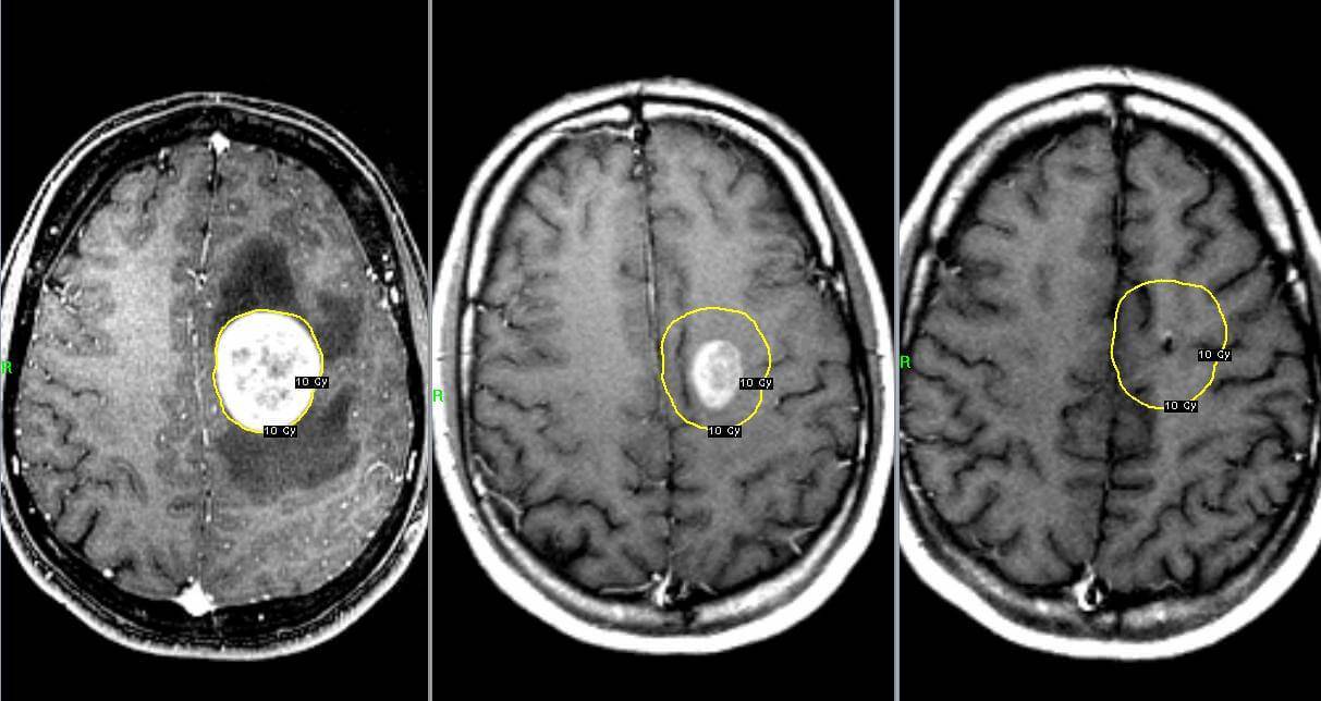
Стереотаксическая радиохирургия является новейшим способом лечения опухолей ствола. Можно проводить два вида радиохирургии:
- гамма-нож — больному надевают на голову специальный шлем для облучения из множества точек. Лучи сводятся в одной точке, где локализуется опухолевый очаг. Здоровые ткани при таком воздействии практически не страдают. Каждые луч имеет небольшое количество гамма-энергии, но суммарное влияние всех лучей способствует достижению максимального эффекта.
- кибер-нож — выполняется с помощью робота и является автоматизированной процедурой. Аппарат самостоятельно концентрирует излучение в область расположения новообразования. Движения пациента и дыхание не дают возможности сбиться в наведении пучка лучей.
Исследования доказывают состоятельность этих методов при лечении доброкачественных новообразований, величиной до 3,5 см.
Какие бывают опухоли головного мозга?
По первичному очагу возникновения, опухоли головного мозга разделяют на:
- Первичная опухоль мозга – эта та, которая возникает непосредственно из клеток головного мозга, его оболочек или черепных нервов.
- Вторичная опухоль мозга – это та, которая образовалась в каком-то другом органе (например, легком) и с током крови метастазировала в головной мозг.
По гистологическим свойствам, их обычно называют по типу клетки, из которой они развиваются:
- Нейроэпителиальные опухоли – из эпителия головного мозга (астроцитома, глиома);
- Оболочечные – из клеток оболочек мозга (менингиома);
- Опухоли черепных нервов – невриномы;
- Дизэмбриогенетические опухоли – развиваются из-за нарушения развития нервной трубки еще в внутриутробном периоде.
Есть ли особенности опухолей головного мозга?
Опухоли головного мозга действительно особенны, а причина этому так называемый гематоэнцефалический барьер (ГЭБ).
ГЭБ – это физиологический барьер между нашей кровью и клетками нервной системы. Именно он регулирует поступление в спинномозговую жидкость и нервную ткань разных веществ из нашего кровотока. Этот барьер защищает наш мозг от микроорганизмов, токсинов и, конечно, раковых клеток, образованных в других органах и метастазировавших в головной мозг. Но именно ГЭБ становиться преградой в лечении первичных опухолей, так как он не «пропускает» не только токсины, но и лекарственные вещества.
Еще одна из особенностей опухолей головного мозга заключается в том, что иногда доброкачественные опухоли также сложно лечить, как и злокачественные, в зависимости от их размера и расположения в головном мозге.
Кроме того, их особенность заключается в распределение по стадиях (об этом ниже, в разделе «Рак головного мозга, стадии»)
Стадии развития онкологического заболевания
В зависимости от прогрессирования заболевания происходит деление онкологии на стадии. При первой стадии опухоль достигает небольших размеров и находится в пределах органа, вторая стадия отличается от первой увеличением опухоли в размерах, третья стадия – прорастание раковых клеток в ближайшие ткани и лимфу, четвертая стадия представляет собой активное прогрессирующие развитие опухоли и метастазирование в отдаленные органы.
Все виды рака классифицируются по единой системе измерения патологического процесса в организме, которая помогает сравнивать значения центрам по борьбе с раком по всему миру. Буквенное и цифровое обозначение стадий онкологического заболевания раскрывается международной системой клинической классификацией рака, и имеет обозначение вне зависимости от вида рака. Для определения значений существует три критерия – величина раковой опухоли, метастазирование в лимфу и наличие метастазов в других органах.
Проявления опухолей нервной системы
Симптомы, которые испытывают люди с опухолями центральной нервной системы, отличаются. В зависимости от расположения новообразования, его размеров у заболевших людей возникают жалобы на:
- головокружение;
- боли в голове;
- потерю сознания;
- повышенную тревожность, галлюцинации, депрессивное состояние, другие расстройства психики;
- приступы судорог;
- нарушения со стороны органов чувств — зрения, обоняния, слуха;
- перепады гормонального фона.
В зависимости от стадии рака головного мозга, локализации опухоли могут возникать и другие симптомы.
Симптомы рака спинного мозга проявляются в виде:
Лечение опухолей мозга
В действительности ряд опухолей мозга (низкозлокачественные глиомы и менингиомы) могут не требовать никакого лечения, а лишь регулярного наблюдения. Это связано с их низким потенциалом роста – они могут не увеличиваться в размерах в течение многих лет и десятков лет.
В рамках лечения требующих его опухолей применяются все существующие методы противоопухолевого воздействия: хирургическое удаление, лекарственная терапия, лучевая терапия. Но высокозлокачественные опухоли трудно поддаются излечению ввиду своих особенностей. Их можно сравнить с грибницей, когда то, что врач видит на МРТ и при выполнении операции является лишь уже сформировавшейся макроскопической частью опухоли, а отдельные клетки располагаются в визуально здоровой ткани мозга на большом удалении от основного образования.

Лечение
Выбор метода терапии напрямую зависит от характера заболевания, локализации опухоли, её размера и типа. Учитывается также возраст и общее состояние пациента. К основным методам лечения относят:
- Хирургическое вмешательство. Часть опухолей имеют удобную локализацию, легко отделяются от тканей, не повреждая орган вокруг. Если расположение неудобное, опухоль мозга, операция поможет не до конца. Хирург отсекает часть новообразования, чтобы исключить сдавливание и существенно улучшить качество жизни пациента.
- Радиохирургия. Она относится к разновидностям облучения. В рамках процедуры пациент проходит небольшие дозы облучения с разных сторон, при этом лучи сходятся в месте локализации новообразования, уничтожая его. При этом окружающие ткани остаются невредимыми.
- Лучевая терапия. Облучать можно непосредственно опухоль или головной мозг пациента в целом. Второй вариант применяется при рецидивах, когда необходимо исключить риск развития метастазов в тканях.
- Химиотерапия. Препараты, которые оказывают системное действие на опухоль и уничтожают её, предотвращая развитие метастаз в органы. Она помогает бороться с симптомами, замедлить рост новообразования и снизить риск развития рецидива.
- Таргетное лечение. Имеют целенаправленное воздействие на клетки опухоли, убивая их. Размножение и рост блокируются. Вызывая гибель клеток.
Для регулирования состояния пациента проводят постоянный контроль с помощью МРТ. Если опухоль не уменьшается или продолжает расти, выбранный способ терапии не эффективен. Также регулярные исследования проводятся после победой над раком головного мозга, чтобы исключить рецидив патологии.
После пройденного лечения и победы над раком мозга потребуется реабилитация. Чаще всего новообразование затрагивает важные функции, которые придётся восстанавливать после качественной терапии.
Обычно реабилитация включает ряд важных мероприятий. К примеру, занятия с логопедом для восстановления нормальной речи, индивидуальные занятия с репетитором, лечебная физкультура и трудотерапия. Также рекомендуется применять соответствующие препараты, чтобы снизить выраженность симптомов и повысить эффект от лечения, а также устранить побочные эффекты.
Роботизированная радиохирургия на системе «Кибер Нож»
Эта технология является разновидностью дистанционной лучевой терапии, но она позволяет настолько точно подвести дозу к патологическому очагу и воздействовать на него с точностью до миллиметра, что ее называют радиохирургией. Она может проводиться не только на линейном ускорителе электронов КиберНож, но и на других современных ускорителях, более универсальных, и на аппарате ГаммаНож. Технически это реализуется следующим образом — опухоль облучается со многих направлений малыми дозами, которые, по отдельности проходя сквозь здоровые ткани, практически не влияют на них. Но пучки ионизирующего излучения, сходясь в одном объёме, образуют в нём высокую дозу облучения, что приводит к уничтожению в этом объёме опухолевой ткани. Таким образом достигается лечебный эффект. Метод позволяет прицельно облучать небольшие опухоли, расположенные в труднодоступных для хирургии местах.

Опухоли полушарий головного мозга
Супратенториальные глиомы располагаются в полушариях головного мозга и составляют около 30% всех опухолей головного мозга у детей. Лечение и прогноз зависят от локализации опухоли и темпов ее роста. Существует несколько разновидностей таких опухолей: ювенильная пилоцитарная астроцитома, глиома зрительных путей (оптическая глиома) или гипоталамическая глиома (см. ниже), олигодендроглиома, полушарная астроцитома и ганглиоглиома. Многие из них вызывают судороги, в связи с локализацией в головном мозге. Если такая опухоль не находится в области, управляющей речью, движением, зрением или интеллектом, то показано ее хирургическое удаление. Иногда удаляют только часть опухоли, после чего дополнительно назначают локальную лучевую терапию и/или химиотерапию.
Глиомызрительныхпутей (оптические глиомы). Около 5% опухолей у детей представляют собой глиомы, развивающиеся в области зрительных нервов и гипоталамуса. Обычно эти опухоли характеризуются медленным ростом и хорошо поддаются хирургическому лечению, лучевой терапии или химиотерапии. Поскольку они затрагивают зрительные нервы и гипоталамус, у детей с этими опухолями часто наблюдаются зрительные и гормональные нарушения.
Краниофарингиомы – неглиальные опухоли, составляющие 5% всех опухолей ЦНС у детей. Для больных с этими опухолями характерно отставание в росте, поскольку пораженная область находится возле гипофиза. Также часты проблемы со зрением. Вопрос об их лечении достаточно сложен: полное удаление опухоли может привести к излечению, но одновременно может вызвать нарушения памяти, зрения, поведения и гормонального статуса. Альтернативой является частичное удаление в сочетании с лучевой терапией. После лечения этих опухолей дети обычно нуждаются в длительной реабилитации из-за проблем со зрением и/или гормональных расстройств.
Герминативноклеточные опухоли составляют небольшую часть опухолей головного мозга – около 4%. Они развиваются в области шишковидной железы или супраселлярной области (т.е. “над турецким седлом”), выше гипофиза. Как правило, их диагностируют в период полового созревания, встречаются и у мальчиков, и у девочек, но у мальчиков несколько чаще. Эти опухоли зачастую хорошо лечатся с помощью химиотерапии и лучевой терапии, применяемых после хирургического удаления или биопсии, очень часто эти опухоли даже не требуется удалять и биопсировать, для диагноза достаточно посмотреть онкомаркеры крови и ликвора (альфафетопротеин и хорионическй гонадотропин) и увидеть характерные изменения на МРТ, кроме того они высоко чувствительны к ХТ и ЛТ и хорошо отвечают даже без хирургического удаления.
Опухолисосудистого сплетения составляют 1-3% всех опухолей ЦНС у детей. Сосудистые сплетения расположены в желудочках головного мозга, их основная функция – выработка ликвора. Опухоли сосудистого сплетения бывают доброкачественные (папилломы) и злокачественные (хориоидкарциномы). Эти опухоли обычно встречаются у маленьких детей (до 1 года) и часто вызывают гидроцефалию. Как правило, их удаляют хирургическим путем. При злокачественных опухолях также назначают химиотерапию, а у детей старше 3-х лет и лучевую терапию.
Супратенториальные ПНЭО, пинеобластомы составляли раньше около 5% всех опухолей головного мозга у детей. В современной классификации опухолей ЦНС этот термин удален, т.к. с помощью молекулярно-генетических методик было показано, что под маской ПНЭО маскируются другие опухоли, которые невозможно отличить, используя только микроскоп и глаза морфолога. Неврологические симптомы зависят от расположения опухоли — в частности, от ее близости к желудочкам мозга. При таких опухолях лечение будет зависеть от верифицированного с помощью молекулярно-генетических методов диагноза.
Лейкоз
Среди всех злокачественных опухолей детского возраста высока доля лейкозов-до 35-50%. Пик заболеваемости в возрасте от 2 до 4 лет. Мальчики болеют в 1,5 раза чаще, чем девочки. Вялость, слабость, раздражительность, повышенная утомляемость, неясное повышение температуры, бледность, снижение аппетита, кровоизлияния на коже, кровотечения (чаще носовые), боли в костях и суставах, увеличение периферических лимфоузлов, увеличение живота за счет увеличения селезенки и печени, стоматит, гингивит часто является поводом для первичного обращения к медицинскому работнику. В клиническом анализе крови сочетание резкого снижения эритроцитов, гемоглобина при нормальном цветовом показателе (нормохромная анемия), повышение или снижение лейкоцитов, снижение тромбоцитов, увеличение СОЭ, увеличение лимфоцитов за счет недифференцированных лимфоидных клеток (бласты). При малейшем подозрении на острый лейкоз показана костномозговая пункция, позволяющая выявить изменения в костном мозге, присущие данному заболеванию.
Различают острый и хронический лейкоз (лейкемию или белокровие), у детей преобладает острый. Выделяют 3 основные варианта:
Острый лимфобластный лейкоз;
Острый миелобластный лейкоз и его варианты:
а) острый промиелоцитарный лейкоз;
б) острый миеломонобластный лейкоз;
в) острый эритромиелобластный лейкоз;
3) острый монобластный лейкоз.
При установлении диагноза ребенок подлежит срочной госпитализации для проведения специальной и сопроводительной терапии. Общие принципы лечения: раннее начало, радикальность за счет назначения сразу несколько цитостатических средств в полных терапевтических дозах в строго определенные дни. Строго регламентированные дни лечения составляют один цикл, несколько циклов- полихимиотерапевтический курс лечения. Каждому цитологическому (цитохимическому) варианту лейкоза соответствует своя оптимальная программа. В процессе лечения различают несколько фаз:
– индукция ремиссии (ослабление);
– консолидация (укрепление) ремиссии;
– реиндукция ремиссии (противорецидивное лечение);
– поддерживающая терапия.
Online-консультации врачей
| Консультация сурдолога (аудиолога) |
| Консультация сексолога |
| Консультация детского невролога |
| Консультация иммунолога |
| Консультация генетика |
| Консультация гомеопата |
| Консультация инфекциониста |
| Консультация онколога-маммолога |
| Консультация офтальмолога (окулиста) |
| Консультация неонатолога |
| Консультация детского психолога |
| Консультация хирурга |
| Консультация маммолога |
| Консультация кардиолога |
| Консультация специалиста банка пуповинной крови |
Новости медицины
Футбольные фанаты находятся в смертельной опасности,
31.01.2020
“Умная перчатка” возвращает силу хвата жертвам травм и инсультов,
28.01.2020
Назван легкий способ укрепить здоровье,
20.01.2020
Топ-5 салонов массажа в Киеве по версии Покупон,
15.01.2020
Новости здравоохранения
Глава ВОЗ объявил пандемию COVID-19,
12.03.2020
Коронавирус атаковал уже более 100 стран, заразились почти 120 000 человек,
11.03.2020
Коронавирус атаковал 79 стран, число жертв приближается к 3200 человек,
04.03.2020
Новый коронавирус атаковал 48 стран мира, число жертв растет,
27.02.2020
Что такое опухоль?
Опухоли – это патологические новообразования, в которых происходит нарушение роста и дифференцировки клеток вследствие изменения их генетического аппарата. Новообразования в организме могут возникать из любых тканей, их рост осуществляется исключительно за счет собственных клеток. Иногда термин «вторичная опухоль» используют для определения опухоли, возникшей после проведенного химиолучевого лечения.
Первичные опухоли состоят из клеток того органа или ткани, где они начинают развиваться, т.е. первичные опухоли мозга возникают именно в клетках мозга. Кроме того, существуют вторичные опухоли, которые возникли в других частях организма, но распространились (метастазировали) в головной или спинной мозг.
Когда опухоль растет медленно, чаще без метастазов, еe называют доброкачественной. Напротив, клетки злокачественных опухолей быстро размножаются и могут метастазировать в прилежащие ткани и в другие отделы ЦНС. Считается, что «злокачественный» в онкологии означает «плохой», а доброкачественный» – «хороший». Однако для опухолей ЦНС это не совсем так.
Стадии
В нашей стране за последний год выявили более 34 тысяч случаев новообразований в головном мозге. Причём болезнь «молодеет». Всё чаще патологию диагностируют у молодых людей, мужчин и женщин, не достигших критерия «среднего возраста». Часто опухоли головного мозга развиваются у беременных женщин на больших сроках вынашивания ребёнка. В таком случае крайне сложно провести качественное лечение. Кроме того, новообразование очень быстро растёт.
Причина тому в симптоматике. Когда человек жалуется на усталость, депрессию и потерю концентрации внимания, ему советуют отдохнуть вместо того, чтобы посоветовать сделать МРТ.
В зависимости от характера опухоли варьируется и скорость развития болезни. Доброкачественные новообразования развиваются медленнее, но чаще практически бессимптомно на ранних стадиях. Злокачественные более агрессивны и развиваются быстрее.
Для доброкачественных выделяют несколько стадий развития:
- Инициация. Выявить болезнь на этом этапе можно только по счастливой случайности. В этот момент в клетках мозга происходит смещение ДНК, они меняются под влияние определённых факторов.
- Промоция. В этот момент происходит активное размножение мутировавших клеток мозга. Однако болезнь даже в этот момент может не проявлять себя.
- Прогрессия. Мутировавшие клетки начинают активный рост и новообразование заполняет свободное внутричерепное пространство, сдавливая соседние органы и ткани.
На последней стадии сама по себе опухоль не приводит к проявлению серьёзных симптомов, однако сдавливание органов и тканей способно привести к судорогам, потерям ориентации, задержкам речи и другим очевидным симптомам.
На последней стадии развития доктор легко диагностирует рак головного мозга, даже не применяя специального оборудования.
Злокачественные новообразования характеризуются быстрым делением и нарастанием опухоли с возможными метастазами в различные, даже самые отдалённые органы. Иммунная система не успевает распознать «врага», в результате чего болезнь захватывает новые органы и ткани, становится неоперабельной и плохо поддаётся лечению. Зачастую это происходит в короткие сроки.
Различают несколько видов доброкачественных патологий:
- Глиома. Характеризуется частыми кровоизлияниями.
- Неврома. Образуется из элементов нервной системы. Симптомом болезни становятся покраснения на кожных покровах и болезненные ощущения в области образовавшейся опухоли.
- Невринома. Представлена многочисленными узелками в области спинного мозга.
- Параганглиома. Врождённая форма доброкачественной опухоли. Может провоцировать появление метастазов. Проявляется головными болями, тахикардией и повышением артериального давления.
- Киста. Большая полость, наполненная жидкостью, которая способна появляться в разных органах и тканях, в том числе в головном мозге. Опасность патологии заключается в её быстром росте.
- Менингиома. Самая распространённая форма доброкачественной опухоли. Однако она часто переходит в злокачественную форму и провоцирует появление метастазов. По статистике женщины страдают патологией чаще мужчин, особенно быстро болезнь развивается у женщин, вынашивающих ребёнка.
- Шваннома. Нарушает функции среднего уха и расстраивает вестибулярный аппарат человека. Симптомы сопровождаются головной болью с тошнотой и рвотой, а также полной или частичной потерей слуха.
- Краниофарингиома. Характеризуется медленным ростом опухоли и появлением кист. В качестве симптомов определяют несахарный диабет, сухость кожных покровов, ожирение, карликовость или бесплодие.
- Аденома гипофиза. Опухоль сжимает органы головного мозга, чаще всего в районе зрительных нервов. Это приводит к утрате периферического зрения, а также ощущению двоения в глазах. У мужчин с таким заболеванием наблюдается импотенция, а у женщин нарушение менструального цикла и бесплодие.
Видов злокачественных опухолей меньше. Они сводятся к трём самым распространённым типам: глиомам, саркомам и тератомам. Саркома образуется из соединительной ткани, характеризуется стремительным ростом и частыми рецидивами. Тератомы образуются из гоноцитов, а глиомы характеризуется нейроэктодермальным происхождением.
Консультация врача и ряд анализов помогут определить, какого типа опухоль расположилась в головном мозге и её опасность для всего организма в целом. Хотя внутричерепное пространство настолько уязвимо и обладает многочисленными сосудами, нервными окончаниями и другими органами, что даже доброкачественная опухоль будет достаточно опасной для здоровья пациента.
Симптомы опухолей головного мозга
У опухолей головного мозга нет каких-либо специфических признаков. Признаки будут зависеть от локализации опухоли, то есть пораженного отдела головного мозга, а также от осложнений опухолевого процесса, например, сдавления ствола мозга, структур зрительного тракта, нарушения оттока ликвора. Размеры опухоли не всегда коррелируют с тяжестью симптомов. Бывает так, что крупная опухоль вызывает минимальные симптомы, в то время как опухоль малых размеров приводит к развитию серьезных неврологических нарушений.
Сдавление мозговой ткани опухолевым образованием приводит к первичной симптоматике. Это может быть нарушение работы органов зрения и слуха, конечностей, двигательные нарушения и др. По мере прогрессирования заболевания нарастает общемозговая симптоматика, которая обусловлена повышением внутричерепного давления и нарушением циркуляции крови.
Итак, какие симптомы должны насторожить пациентов и их близких:
- Головная боль. Один из самых часто встречаемых признаков. Может быть эпизодическая или хроническая. Может быть острой, мигренеподобной, распирающей, тупой.
- Головокружение.
- Тошнота и рвота. Тошнота и рвота, как правило, обусловлены повышением внутричерепного давления и сопровождаются менингиальными симптомами, например, ригидностью затылочных мышц. Рвота обычно не приносит облегчения.
- Судороги и эпилептические припадки. Особенно должно настораживать, если они возникают на фоне общего благополучия.
- Нарушение зрения. Иногда симптомами опухолей головного мозга может стать сужение или выпадение полей зрения, нечеткость зрения и двоение перед глазами, мелькание мушек, спеклы и другие симптомы.
- Нарушения со стороны высшей нервной деятельности – провалы памяти, нарушение речи, замедление мышления, невозможность построения логических связей. Может меняться характер и поведение. Такие пациенты бывают агрессивными, подозрительными, некоторые, наоборот, становятся вялыми и сонливыми.
- Онемение, слабость и параличи конечностей.
- Нарушение походки и чувства равновесия.
- Неконтролируемые движения по типу гиперкинезии.
- Общая слабость, сонливость.

Симптомы клинической картины болезни
Ядра черепно-мозговых нервов, проводящие нервные пути, центры — все компоненты мозгового ствола влияют на развитие множества симптомов его повреждения. Компенсаторные свойства детской нервной ткани провоцируют долгое инаппаратное течение заболевания у детей. Возникновение опухолевого процесса влияет на начальные симптомы болезни, дальнейшие проявления целиком зависят от вида новообразования.
Вероятно, развитие магистрального пареза лицевого нерва с нарушением симметрии лица, нистагмом, косоглазием, а также возникновением нарушений двигательного согласования, шаткость походки. К симптомам добавляются головокружение, дрожание рук, нарушение слуха, трудности при сглатывании и першение в горле. Снижение мышечной активности, парезы рук, ног или половины тела присоединяются к основной симптоматике. В более позднем периоде болезни появляются симптомы гидроцефалии — головная боль, чувство тошноты, рвота. Смерть больного наступает из-за расстройств сердечно-сосудистого функционирования, дыхательного центра ствола мозга.
Классификация симптомов
Так как злокачественные глиомы растут гораздо быстрее, их присутствие, как правило, проявляется в течение нескольких недель или месяцев. Специалисты разделяют основные симптомы на две категории: неспецифические общие, свойственные всем злокачественным опухолям ЦНС, и специфические, зависящие от места расположения новообразования.
Неспецифические. К общим симптомам злокачественных глиом относятся боли в голове и спине, головокружения, тошнота, рвота и отсутствие аппетита, перепады настроения, снижение активности, внезапная худоба или полнота и сложности с концентрацией внимания. Также опухоли часто нарушают отток ликвора (спинномозговой жидкости), и его скопление приводит к гидроцефалии. Можно заметить, что общие симптомы мало отличаются от симптомов доброкачественных глиом, и потому по ним определить тип новообразования сложно.
Специфические. Такая симптоматика, также называемая локальной, способна более точно указать на место, в котором образовалась опухоль. Например, при локализации в мозжечке глиома вызывает проблемы с координацией движений. Это можно заметить по неуверенной, шатающейся походке ребенка и частым падениям. Судороги могут быть признаком того, что новообразование растет в большом мозге, а паралич каких-либо мышц характерен для опухоли в спинном мозге. К специфическим симптомам также относятся нарушения зрения и сна, а у грудничков и маленьких детей – макроцефалия.





































