Псевдокиста? Без паники!
Однако и у полностью здоровых родителей на свет может появиться ребенок с каким-либо проблемами. Одна из потенциальных проблем – псевдокиста головного мозга. Что же это такое и как ее лечить?
Псевдоструктуры встречаются у большинства новорожденных и самостоятельно рассасываются в 98% случаев в течение первого года жизни. Большинство родителей впадают в панику, услышав от врача слово «киста», но не стоит волноваться и предпринимать какие-либо меры по ее лечению.
Псевдокисты – небольшие образования сосудистого сплетения, наполненные ликвором (спинномозговой жидкостью). Как правило, они располагаются в одном полушарии, могут быть и двусторонними, но лишь в определенных участках мозга.
Что запускает механизм возникновения отклонения? Медики не могут дать на этот вопрос однозначный ответ, поскольку факторов, влияющих на появление псевдообразования немало:
- внутриутробная гипоксия плода;
- нарушения кровообращения или кровоизлияния в мозг;
- родовые травмы;
- воздействие токсинов, полученных из материнский организм;
- перенесенная во время беременности инфекция.
Чем отличается псевдокиста от кисты
Кроме того, ультразвуковое исследование, которое применяют для определения характера кистозного образования, не дает возможности тщательно осмотреть оболочку и ее стенки изнутри. Также для диагноза не показательны форма, размеры: они отличаются разнообразием и в случае псевдокистозной полости, и у истинной кисты.
В отечественной медицинской практике понятия кисты и псевдокисты и вовсе употребляются в качестве синонимов применительно к любой полой структуре. Отличаются эти два вида патологии строением и областью возникновения.
Основными признаками, указывающими на то, что образование в боковых желудочках мозга – это псевдокиста, являются:
- место расположения. Ее обнаруживают в таких участках: боковые углы переднего рога, боковые желудочки, зона, граничащая со зрительным бугром и хвостатым ядром;
- причины образования, которые кроются во внутримозговом кровотечении, нехватке кислорода. Наследственные факторы не участвуют в механизме ее развития.

Размер данной патологии варьируется от двух до десяти миллиметров. Псевдокисту находят в желудочках как с левой стороны, так и с правой.
Мелкие образования рассасываются сами спустя год. А вот те, которые побольше, способны сдавливать окружающие ткани и не проходить долго, вплоть до шестилетия. При разном расположении образование может по-разному воздействовать на мозг, вызывая разнообразную симптоматику:
- сдавливание затылочной зоны влияет на зрение;
- влияние на мозжечок может ухудшить двигательные функции;
- воздействие на височные зоны ухудшает остроту слуха;
- большая псевдокиста, давящая на гипофиз, может стать причиной гормональных сбоев.
Лечение
Течение патологии, наблюдаемой у новорожденного ребенка, должен контролировать детский невролог. В процессе терапии могут использоваться следующие методики.
Медикаменты
Как правило, врачи приписывают малышам ряд препаратов, действие которых направлено на улучшение процессов кровообращения в области мозга, а также назначают антигипоксанты:
- Мексидол;
- Цитофлавин;
- Витамины, относящиеся к группе В;
- Милдралекс.
В случае наблюдения гиперактивности могут порекомендовать применение таких препаратов как:
- Глицин;
- Пантокальцин, а также Пантогам.
Если ложная киста не подлежала рассасыванию в течение первого года существования ребенка, при этом увеличивается в размерах, потребуется проведения операции. Удаление образования производится посредством трепанации черепа с использованием методик эндоскопии и шунтирования.
Оперативное вмешательство
Эндоскопические хирургические процедуры на сегодняшний день являются самыми лучшими способами лечения образований у детей. Но такие операции осуществляются не во всех случаях. Если у малыша диагностировали кисту прозрачной перегородки, развивающуюся в зоне головного мозга, то данная методика прекрасно подойдет для лечения. Лечение не сопровождается осложнениями, и позволяет избежать чрезмерного травмирования маленького пациента.
Период восстановления после произведенной операции по удалению кисты для каждого случая разный, и зависит от общего самочувствия и состояния здоровья ребенка.
Народные средства
Для улучшения самочувствия детей при наличии крупных кистозных образований в области головного мозга, кроме использования лекарственных препаратов можно задействовать и народные средства. К наиболее эффективным относятся следующие рецепты:
- отвар, приготовленный из плодов боярышника. Принимается жидкость внутрь для укрепления нервной системы. Это средство способствует улучшению сна ребенка;
- полевой хвощ, гусиная лапчатка, а также буквица и фиалка отличаются способностью понижать внутричерепное давление;
- болиголов наделен превосходным рассасывающим воздействием;
- травяные отвары для приема успокаивающих ванночек.
Для приготовления отвара, оказывающего успокаивающее воздействие, потребуется взять малиновые листья, тысячелетник, а также ромашку, корневище солодки и аира болотного. Компоненты используются в равных пропорциях, перемешиваются. Состав в количестве 2-х ст.л. следует поместить в емкость, залить кипятком (0,5 л) и настаивать 8-мь часов. После этого жидкость процеживают и добавляют в ванночки для купания ребенка.
Прежде чем использовать средства народной медицины в борьбе с псевдокистой, следует проконсультироваться с лечащим врачом.
Другие статьи по теме:
- Профилактика инсульта
- Комплексные программы обследования
- Выездные консультации и исследования
- Головная боль
- Болезнь Паркинсона, паркинсонизм и другие экстрапирамидные патологии
- Методы диагностики
*Материалы, размещенные на данной странице, носят информационный характер и предназначены для образовательных целей. Посетители сайта не должны использовать их в качестве медицинских рекомендаций. Определение диагноза и выбор методики лечения остается исключительной прерогативой вашего лечащего врача! Клинический Институт Мозга не несёт ответственности за возможные негативные последствия, возникшие в результате использования информации, размещенной на сайте neuro-ural.ru.
Лечебная тактика
Лечение органических повреждений головного мозга может быть самым разнообразным и зависит от патогенетического механизма развития повреждения и непосредственной причины.
Лечение органического поражения головного мозга может быть хирургическим и консервативным. Например, развитие высокого внутричерепного давления, которое представляет угрозу жизнедеятельности можно лечить и хирургическим, и консервативным путём. Хирургическое лечение – наложение трепанационного отверстия для декомпрессии головного мозга применимо при формировании выраженной гематомы при травме или геморрагическом инсульте, а консервативная терапия возможна при умеренном увеличении внутричерепного давления без дислокации головного мозга. Для консервативной терапии применяют мочегонные препараты вызывающие форсированный диурез, позволяющие быстро ликвидировать отёки.
Лечение атеросклероза церебральных артерий также может быть как хирургическим, так и консервативным. Хирургическое – проведение ангиографии с установкой стентов расширяющих просвет артерий. Консервативное – антитромботическая терапия и коррекция дислепидемии.
Виды
Врачи выделяют врожденную и приобретенную энцефалопатию. Первая возникает на фоне неправильного течения беременности или родов и, зачастую, развивается еще во время пребывания плода в утробе матери. Ее признаки обнаруживаются сразу после родов или появляются в первые недели жизни. Диагностикой и лечением этого состояния занимаются неонатологи и педиатры.
Приобретенная энцефалопатия встречается уже во взрослом возрасте. Она подразделяется на несколько видов в зависимости от причины гибели нейронов:
- посттравматическая: возникает на фоне перенесенной черепно-мозговой травмы; зачастую, развивается уже через несколько лет после нее и нередко приводит к тяжелым расстройствам психики;
- токсическая: связана с острым или хроническим отравлением организма алкоголем, ядами, наркотическими препаратами, лекарственными средствами, солями тяжелых металлов и т.п.; нередко в рамках этого вида отдельно выделяют алкогольную энцефалопатию;
- метаболическая: связана с нарушением обмена веществ в организме; выделяют следующие подвиды патологии:
- печеночная: возникает при поражении печени или желчевыносящих путей;
- уремическая: связана с нарушением работы почек;
- диабетическая: является одним из частых осложнений сахарного диабета, возникает на фоне стойкого нарушения микроциркуляции и повышения вязкости крови;
- аноксическая: развивается после перенесенной клинической смерти и связана с кислородным голоданием головного мозга с последующим развитием «метаболической бури»;
- синдром Гайе-Вернике: энцефалопатия, вызванная дефицитом витамина В1;
- панкреатическая: является осложнением воспаления поджелудочной железы;
- гипогликемическая: возникает на фоне резкого снижения глюкозы крови;
- дисциркуляторная: связана с нарушением циркуляции крови в сосудах головного мозга; различают несколько форм патологии:
- атеросклеротическая: развивается из-за атеросклероза и утолщения стенок сосудов;
- гипертоническая: связана со стойким повышением артериального давления;
- венозная: возникает из-за нарушения венозного оттока крови.
В зависимости от скорости развития процесса выделяют энцефалопатию острую и хроническую. Первая может развиться в течение нескольких дней или часов, чаще возникает на фоне сильной интоксикации, травмы, инфекционного процесса. Хронический процесс может протекать годами и десятилетиями.
Прогноз
Младенец с псевдокистой головного мозга в течение первого года жизни развивается нормально. Все показатели созревания структур центральной нервной системы не отличаются, ребенок не отстает в росте и физиологическом развитии от сверстников. В большинстве случаев при выявлении псевдокисты прогноз благоприятный. У родителей нет повода для беспокойства. В течение первого года жизни требуется динамическое наблюдение у детского невролога. Если после проведения контрольного ультразвукового исследования отмечается рассасывание полостных образований, то ребенок старше года снимается с диспансерного учета.
Псевдокиста головного мозга относится к «малым» порокам внутриутробного развития, которые провоцируют различные негативные факторы. Обычно при выявлении образования специальные терапевтические мероприятия не требуются.
Методы лечения
Доктор Комаровский уверен, что псевдокиста в голове у грудного ребенка – это разновидность нормы, и она не влияет на развитие ребенка. При появлении такого образования опасным является не псевдокиста, а возможные осложнения в виде нарушения целостности тканей головного мозга.
ИНТЕРЕСНО: увеличены желудочки головного мозга у грудничка: особенности лечения
В большинстве случаев лечение при таком диагнозе не требуется. Терапия направлена на устранение последствий внутриутробной гипоксии (рекомендуем прочитать: какими могут быть последствия гипоксии у ребенка?). Для улучшения кровообращения врач может назначить Актовегин, Цитофлавин и др. Сама же псевдокиста как такового лечения не требует и рассасывается самостоятельно на первом году жизни без медицинских вмешательств.
Когда следует обратиться к неврологу
Малыши до года находятся под постоянным наблюдением врача-педиатра. При каждом плановом осмотре специалист обязательно оценивает состояние родничка. Если педиатр увидит отклонение от нормы, он направит ребенка на консультацию к неврологу. Но случаются ситуации, когда ребенок нуждается в экстренной медицинской помощи. Срочно обращаться к врачу нужно, если западение или выпячивание родничка сопровождается следующими признаками:
- стремительный подъем температуры до 40С;
- неукротимая рвота;
- судороги;
- потеря сознания;
- сонливость и вялость;
- отказ от еды;
- сухость кожных покровов;
- появление эффекта “мраморной кожи”.
Внимательные родители всегда заметят изменившееся состояние родничка. Но установить причину проблемы сможет только дипломированный врач. В Калининграде проконсультироваться с детским неврологом можно в поликлинике “Эдкарик”. Компетентный специалист грамотно оценит состояние малыша, и назначит адекватную терапию.
Как обнаруживают псевдокисты у новорожденных?
Признаки, по которым псевдокисту отличают от реальной кисты, угрожающей здоровью ребенка, до сих пор не изучены полностью. Специалисты склоняются к мнению, что псевдообразование у новорожденного отличает отсутствие эпителиального выстила, но далеко не все медики с этим согласны, считая утверждение спорным и неверным. Подобные образования никак не влияют на физическое, умственное, психическое развитие ребенка в дальнейшем.
Обнаруживают такие образования в первые месяцы жизни малыша с помощью ультразвуковой диагностики, только при открытом родничке. Никакой симптоматики они не проявляют.
Опытные врачи-диагносты определяют наличие псевдообразования у плода, когда он еще находится в утробе матери.
Показания к проведению диагностики у новорожденного:
- гипоксия плода;
- повреждения при родах;
- чрезмерная плаксивость;
- неспокойное поведение, неврологические отклонения.
Если родители замечают, что с ребенком что-то не так, им следует обратиться к специалистам неврологам для комплексного осмотра, включающего УЗИ головного мозга. В большинстве роддомов, оснащенных современным оборудованием, диагностику назначают перед выпиской. Обязательное УЗИ головы делают малышам в возрасте 1 месяца.
Причины возникновения псевдокист головного мозга
Установить этиологические факторы кистозных внутримозговых полостей ученым не удалось. Верификация провоцирующих механизмов развития у детей установлена практикой. Патология формируется чаще всего при проблемах прохождения по родовым путям. До рождения УЗИ не указывает псевдокисты.
Истинные кисты могут быть обнаружены до 28 недели. Затем самостоятельно регрессируют.
Проблемы возникают у детей из-за церебрального кровоизлияния, гипоксических состояний, патологии кровообращения мозга.
Субэпиндимальные псевдокисты у новорожденных и младенцев связаны с родовым процессом, но не являются врожденными. Осложнения возникают из-за сопутствующих кровоизлияний.
Псевдокиста сосудистого сплетения правого бокового желудочка
Развитие кистозных полостей сосудистого сплетения наблюдается на 13-18 неделе. К этому сроку внутри сосудистой оболочки формируется сетчатая структура. После заполнения образования жидкостью на УЗИ прослеживаются полости с наличием ликвора. К двадцать восьмой неделе беременности кисты исчезают самостоятельно. Псевдообразования сплетений правого желудочка после рождения обнаруживаются при осложненной беременности:
- Гипоксия мозговой ткани плода;
- Инфекции (герпетическая, хламидиозная, криптококковая).
Сосудистые сплетения у плода формируются на шестой неделе. При отсутствии нервных клеток могут возникать аномалии образования жидкости. Капли ликвора после попадания на структуры сосудистых сплетений приводят к образованию дополнительных кистозных полостей.
С одинаковой вероятностью развиваются псевдообразования левой и правой стороны. Большая часть рассасывается к 28 неделе. Патология формируется вначале интенсивного развития плода, когда существуют временные нарушения эмбриогенеза. К рождению функция головного мозга нормализуется. Если после рождения образования сохраняются, обычно за год нозология исчезает.
Опасность представляет сочетание псевдокист с другими изменениями мозга:
- Диафрагмальная грыжа;
- Трисомия 18 хромосомы;
- Диафрагмальная гематома;
- Микрогнатия;
- Омфалоцеле;
- Гидроцефалия;
- Гигрома кистозная;
- Дефекты нервной трубки;
- Ступни-молоты.
При присутствии комбинированных расстройств проводят амниоцентез – это взятие околоплодных вод для последующего изучения хромосом. Псевдокисты с дополнительными стигмами дисэмбриогенеза развиваются при ряде наследственных заболеваний (Дауна, Эдварда).
Амниоцентез считается безопасным для ребенка, но процедура инвазивна, поэтому выполняется по показаниям.
Комплексное обследование предполагает использование дополнительных методов нейровизуализации:
- Нейросонография;
- Магнитно-резонансная томография (МРТ);
- Компьютерная томография (КТ).
Ультразвуковое обследование возможно у доношенных детей, когда роднички покрыты тонкой костной тканью. У новорожденных детей просветы открыты для ультразвуковых лучей. Способы МР- и КТ-ангиография применяются для обследования сосудов головного мозга после введения контрастного вещества внутривенно.
Лечение
Пока роста кисты нет, отсутствуют тревожные симптомы, достаточно лишь регулярно наблюдаться у невропатолога и лечить не саму кисту, а причины, вызвавшие ее появление. То есть, в случае проблемы с кровоснабжением, назначаются лекарства, восстанавливающие хорошее кровообращение. Возможно назначение противовирусных средств, антибактериальных препаратов, иммуномодуляторов.
Если полость кисты все же увеличивается, лечение сводится к хирургическим способам борьбы. Их можно условно поделить на 3 вида:
- Радикальные операции. К ним относятся трепанация черепа с полным удалением кисты. Она эффективна, но степень травматичности очень высокая.
- Шунтирование кистозной полости. Суть в следующем: через небольшое отверстие вставляется дренажная трубка, по которой происходит эвакуация содержимого кисты. Минус такого вмешательства в большом риске инфицирования из-за долгого пребывания шунта в мозге. Кроме того, киста не удаляется полностью.
- Эндоскопический метод — пожалуй, самый безопасный и «щадящий» метод на сегодня. Делается специальный прокол, и содержимое кисты удаляется через эндоскоп. Однако такой метод подходит не для всех видов образований.

Эндоскопический метод вмешательства — самый безопасный для младенцев
Разновидности патологии
- Мышечная – нарушения коснулись кивательной и трапециевидной мышцы. Причинами могут быть: недостаточное кровоснабжение, надрыв волокон, недоразвитие. Нередко дефект усугубляется родовой травмой.
- Костная и суставная деформация появляется при сращении позвонков, наличии клиновидных и добавочных позвонков. Заболевание может развиться при вывихе и подвывихе срединного сустава, переломе позвонков, а также деформациях, вызванных туберкулезом, опухолевым образованием, остеомиелитом.
- Нейрогенная – провоцируется внутриутробной инфекцией, гипоксией, дистонией мышц. Приобретенное заболевание развивается при наличии ДЦП, перенесенного энцефалита, полиомиелита, опухолевых образований ЦНС.
- Дермо-десмогенная – наблюдается при боковых складках на шее. Заболевание может развиться при травмах, ожогах, воспалительных процессах в лимфоузлах, при наличии рубцов, которые формируют патологический наклон.
- Компенсаторная – приобретенная патология, обычно вызвана проблемами с глазами: астигматизмом, косоглазием. Причиной может быть тугоухость. У практически здоровых детей встречается кривошея из-за неправильного укладывания в кроватку, ношения на руках одной стороной к себе, выкладывания игрушек с одной стороны.
Народные методы

Чтобы улучшить состояние ребенка при больших кистозных образованиях совместно с медикаментозным лечением можно прибегнуть к народной медицине. Наиболее популярными рецептами являются:
- Отвар боярышника, принимаемый внутрь, укрепит нервную систему, улучшит сон маленького пациента.
- Лапчатка гусиная, хвощ полевой, фиалка, буквица снизят внутричерепное давление.
- Болиголов обладает отличным рассасывающим эффектом.
- Ванночки с травяными отварами действуют успокаивающе.
Чтобы приготовить полезный отвар с успокаивающим действием, в равных пропорциях можно взять листья малины, корень болотного аира, тысячелистник, ромашку аптечную, корень солодки. 2 столовые ложки измельченного сырья настаивают в 0,5 л кипятка 7-8 часов. Готовый процеженный отвар добавляют в ванночку и купают малыша.
Субэпендимальная псевдокиста головного мозга, которая обнаруживается у новорожденных, считается доброкачественной опухолью и требует регулярного наблюдения. В основном, проблема уходит со временем, не оставляя негативных последствий. Главное, следить за течением патологии и соблюдать рекомендации врача.
Опухоли головного мозга
Составляют 16% всех злокачественных образований у детей. Заболевают 3-4 ребенка на 100 000 человек.
Разные опухоли имеют ряд общих черт. Они располагаются внутри замкнутого пространства черепа, оказывая воздействие на клетки вещества мозга. У детей раннего возраста наиболее ранним признаком является увеличение головы с набуханием и напряжением родников. Это приводит к длительной компенсацией явлений повышение внутричерепного давления. Дети перестают интересоваться окружающим миром, играть, становятся сонливыми. У школьников появляется раздражительность, замкнутость, отказ от пищи. При дальнейшем развитии заболевания появляется общемозговая симптоматика: пристуобразные распирающие головные боли, тошнота, рвота по утрам, нарушение походки, координации движений, судороги, нарушение психики. Клинические признаки связаны с локализацией опухоли в области мозга.
Для ранней диагностики заболевания необходимо проведение:
– рентгенография черепа;
– МРТ головного мозга с в/в контрастированием;
– спиннмозговой пункция;
– электроэнцефалография.
Основным видом лечения является хирургический, также лучевая терапия, химиотерапия в зависимости от разновидности опухоли (медуллобластома, эпендимома, АТРО). Результаты лечения зависят от ранней диагностики, радикальности оперативного вмешательства.
Обследование и диагноз
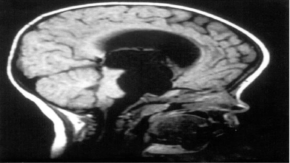
МР-томография или КТ дадут однозначную информацию о наличии, размерах и расположении кисты. Отличить кисту от опухоли помогает исследование с внутривенным введением контраста: опухоль накапливает контраст, а киста – нет. Выполнить такое исследование Вы можете в Клинике Академии наук.
МР-томограммы мозга.1. Киста после кровоизлияния в мозг2. Кисты мозжечка после ишемического инсульта (закупорка мозговых артерий)3. Кистозно-слипчивый арахноидит
Чтобы избежать увеличения и появления новых кист, мы должны четко понимать и лечить первопричину их возникновения. Поэтому мы тщательно обследуем Вас на предмет нарушений кровообращения, инфекций, аутоиммунных заболеваний.
Доплеровское исследование сосудов головы и шеи (УЗДГ) поможет обнаружить сужение сосудов, обеспечивающих мозг артериальной кровью. Недостаток кровоснабжения может приводить к очаговой гибели мозгового вещества и появлению кист.
Исследования сердца (ЭКГ, Эхо-КГ). Мозг может быть недостаточно обеспечен кровью из-за нарушений ритма или сердечной недостаточности.
Анализ крови на свертываемость и холестерин. Повышение в крови концентрации холестерина и увеличенная свертываемость – основные причины закупорки сосудов мозга с последующим образованием кист. Эта проблема легко решается с помощью современных лекарств.
Мониторинг артериального давления. Эпизодические подъемы давления – частая причина инсультов и послеинсультных кист. Монитор – это маленький приборчик, который в течение 1 суток постоянно находится с Вами и записывает Ваше артериальное давление на карту памяти. Затем данные считываются компьютером и дают врачу полную картину давления за сутки.
Анализы крови на инфекции и аутоиммунные болезни нервной системы мы выполняем в случае подозрения на нейроинфекции, арахноидит, рассеянный склероз.
Другие виды кист мозга
Также часто встречаются и такие виды кист:
- Киста эпифиза головного мозга, симптомами которой являются сильные головные боли, сонливость, дезориентация, раздвоение в глазах. Также она затрудняет процесс ходьбы. На начальной стадии болезни применяют медикаментозное лечение. Запущенную кисту, увеличивающуюся в размерах, удаляют хирургическим путем.
- Киста сплетений сосудов – это доброкачественное новообразование, которое проявляется на отдельных стадиях развития плода в утробе матери. Такая киста головного мозга у ребенка чаще всего рассасывается самостоятельно. В некоторых случаях киста головного мозга у новорожденного возникает в результате осложнений при беременности и во время родов. К ней может привести и инфекционное заражение плода. В редких случаях это образование приводит к патологическим изменениям других систем организма. Врожденная киста головного мозга определяется с помощью процедуры, называемой нейросографией. Она абсолютно безвредна для здоровья ребенка. Диагностику такой кисты у взрослых людей производят с помощью исследования ультразвуком.
- Псевдокиста головного мозга у новорожденных встречается у 1% недоношенных детей. Ее выявляют при проведении УЗИ в первые 24 часа жизни ребенка. Данная киста головного мозга у плода возникает в результате кровоизлияния зародышевой матрицы. Она может быть односторонней или двусторонней. Псевдокисты являются наиболее безопасным для здоровья последствием родов. Они не требуют специального лечения. Как правило, уже к первому году жизни ребенка они полностью рассасываются.
- Ликворная киста головного мозга — новообразование, возникшее между мозговыми оболочками. Ее образованию способствуют воспалительные процессы (менингит, инсульт), травмы и хирургическое вмешательство. Она диагностируется во взрослом возрасте, поскольку на ранних стадиях ее признаки практически не выражены. Симптомы ликворной кисты: тошнота, рвота, психические расстройства, нарушение координации, судороги, паралич конечностей.
- Субэпендимальная киста возникает у новорожденных после нарушения кровообращения головного мозга или при гипоксии (недостаточного снабжения мозга кислородом). Это заболевание требует врачебного контроля.
- Порэнцефалическая киста головного мозга – образование, возникающеев его тканях вследствие расплавления пораженной области. Она приводит к весьма серьезным последствиям таким, как гидроцефалия и шизэнцефалия.
- Лакунарная киста образовывается в области варолиевого моста, в мозжечке, подкорковых узлах, зрительных буграх. Чаще всего она возникает в результате возрастных изменений и атеросклероза.
- Коллоидальная киста имеет врожденное происхождение. Она появляется в результате эмбиогенеза. Она может быть у человека всю жизнь, но при этом не доставляет ему никаких проблем. Есть мнение, что она носит наследственный характер. Эта киста блокирует поток жидкости. Она часто сопровождается головной болью, эпилептическими припадками, слабостью в ногах и высоким внутричерепным давлением. Наиболее ярко симптомы этого заболевания проявляются в зрелом возрасте. Иногда это заболевание является причиной возникновения гидроцефалии, мозговой грыжи. В редких случаях она приводит к летальному исходу.

Коллоидальная киста
Кисты разных отделов головного мозга
В некоторых случаях медики диагностируют следующие заболевания:
- Киста гипофиза головного мозга – доброкачественное образование. Оно появляется, в основном у людей в возрасте 30-40 лет. Практически не бывает кисты гипофиза у детей и подростков. Это заболевание опасно тем, что новообразование затрагивает центральную нервную систему. Чаще всего такую кисту удаляют хирургическим путем.
- Киста мозжечка головного мозга может возникнуть по ряду причин. Чаще всего ее лечение направлено на рассасывание спаек. Если киста образовалась в результате аутоиммунных процессов или инфекции, понадобится противовоспалительная терапия. Хирургическое вмешательство производят при наличии признаков кровоизлияния, судорог, нарушении координации движения. В большинстве случаев это заболевание полностью излечивается.
Особенности дифференциации
Поскольку псевдокисту головного мозга у новорожденных трудно отличить именно от истинной опухоли, то медики с пристальным вниманием исследуют каждое новообразование, чтобы выделить наиболее характерные общие признаки для одной и другой болезни

Признаки псевдокисты:
- типичная локализация – располагается в желудочке головного мозга. В редких случаях псевдокисты в голове у новорожденных могут обнаруживаться между хвостатым рогом и центром, отвечающим за зрительную функцию. Все остальные локализации говорят о наличии истинной кисты, поскольку расположена она в других отделах;
- происхождение кисты – она всегда является приобретенным дефектом, не передается по наследству и не бывает врожденной. Если у крохи диагностирована многокамерная псевдокиста головного мозга, то она обычно свидетельствует о разрыве сосуда и геморрагии, а при кислородном голодании в процессе родов появляется опухоль в желудочках мозгового вещества.
Более точно определиться с диагнозом можно только после исследования при помощи ультразвука.





































