Признаки беременности
Первые признаки беременности могут появиться еще в момент имплантации, примерно за неделю до начала предполагаемых месячных. Женщина может почувствовать незначительные покалывания в области матки. Редким специфическим признаком имплантации являются кровянистые выделения. Они возникают в результате повреждения кровеносных сосудов при внедрении эмбриона в матку. После этого процесса гормональный фон женщины начинается меняться за счет увеличения уровня прогестерона. Это приводит к возникновению следующих симптомов:
- тошнота и рвота;
- эмоциональные перепады;
- тяжесть в груди;
- потягивания в матке и яичнике, из которого вышла яйцеклетка;
- снижение работоспособности;
- развитие молочницы;
- частые позывы к мочеиспусканию;
- мигрени и головокружение;
- одышка.

Сравнение симптоматики
Казалось бы, как можно перепутать кисту яичника с беременностью, если новообразование локализуется на яичнике, а плод развивается в матке. Тем не менее, беременность имеет ряд схожих с кистой признаков, но есть и отличия.
| Диагноз Симптом | Беременность | Киста |
| Сбои менструального цикла, задержка месячных | Первым и самым главным признаком, позволяющим заподозрить беременность, является задержка месячных | Может быть задержка или изменение характера месячных, например, очень скудные выделения. |
| Тошнота, рвота | Есть, часто. Это связано с изменением гормонального фона, состава крови | Может быть, но редко |
| Расстройства ЖКТ (запоры, диарея) | Есть. Это опять же связано с гормональным скачком | Есть. Связано с давлением кисты на кишечник |
| Наличие выделений из влагалища, их характер | Могут быть на протяжении всей беременности. Иногда имеют закономерное течение в виде отслойки некоторого количества эндометрия, иногда говорят об угрозе прерывания беременности (если они с примесью крови) | Есть. Могут появляться в любое время цикла, иметь различный цвет и консистенцию |
| Базальная температура* | Повышается. Это закономерный физиологический процесс, который создает благоприятные условия для развития плода. Патологией не является | Отсутствует. Может незначительно повышаться с приходом овуляции |
| Наличие болевых ощущений в животе | Есть, но на ранних сроках этот симптом не всегда присутствует. Боли могут ощущаться именно в матке | Есть, с одной стороны в области того яичника, где расположена киста |
| Частые позывы к мочеиспусканию | Присутствуют из-за изменений соотношения гормонов, а также изменений в работе желудочно-кишечного тракта | Присутствуют из-за давления кисты на мочевой пузырь |
| Проявления либидо, наличие болезненности во время полового акта | Либидо проявляется у всех по-разному, у кого-то увеличивается, у кого-то снижается. Болей во время полового акта при нормальном течении беременности быть не должно | Либидо также может увеличиваться или понижаться, боли во время секса присутствуют |
| Проявления со стороны центральной нервной системы | Могут появляться сонливость, усталость, резкие перепады настроения, чрезмерная раздражительность, капризность | Возможно ощущение слабости, недомогания, усталости |
| Внешние проявления: вес, качество кожи, волос | Могут изменяться. Как правило, качество кожи и волос улучшается, вес прибавляется | Могут изменяться, но в отличие от беременности, в худшую сторону: волосы выпадают, становятся тусклыми и ломкими, появляется угревая сыпь (акне). Вес может измениться или остаться на прежнем уровне |
| Боли и нагрубание молочных желез | Присутствуют. Грудь во время беременности увеличивается в размерах, а также усиливается ее чувствительность | Как правило, их нет, так как овуляция не наступает |
* Базальную температуру можно измерять во рту, прямой кишке или вагинально. Для более точного определения беременности лучше использовать последний способ.
Почему УЗИ неправильно определяет пол ребенка?
Часто беременные сталкиваются с тем, что УЗИ указывает на девочку, а на свет появляется мальчик, или наоборот. В первую очередь, связано это со сроком беременности — вероятно, он еще мал для того, чтобы достоверно определить пол будущего ребенка. Первое плановое УЗИ приходится на период 11-13 недель. На данном сроке пол ребенка невозможно предугадать с абсолютной точностью, поскольку процесс формирования половых органов завершается несколько позже, хотя и начинается примерно с 5-ти недель. Размеры плода еще настолько малы, что врач УЗИ диагностики может ошибочно предположить тот или иной пол. Поэтому не следует полностью полагаться на эти результаты. В некоторых случаях предположение подтверждается в дальнейшем, однако следует расценивать это как простое совпадение.
При определении мальчика или девочки даже на больших сроках, специалисты порой могут допустить ошибку несмотря на то, что плод уже достаточно большой и гениталии уже четко определяются. Врач ошибается не потому, что не может отличить мальчика от девочки, а из-за того, что большой плод, занимая все пространство матки, группирует свое тело таким образом, что гениталии попросту прикрыты другими частями тела – их не видно, и невозможно достоверно выявить, кто там находится — мальчик или девочка.
Помимо указанных причин, имеет место устаревшее оборудование для УЗИ диагностики. Полученные посредством него данные могут быть не точными. Такая ситуация может сложиться в учреждениях здравоохранения в небольших местностях, где отсутствуют крупные медицинские центры с современным оборудованием. Многое зависит также от профессионализма и уровня квалификации врача ультразвуковой диагностики. Так, специалист с достаточным опытом работы без труда может определить, кто находится в утробе — мальчик или девочка, если все другие условия для этого были соблюдены.
Геморрагические кисты яичника
Комплексная геморрагическая киста яичника формируется при кровотечении из Граафова фолликула либо фолликулярной кисты. На УЗИ геморрагические кисты выглядят как однокамерные тонкостенные кистозные структуры с наличием тяжей фибрина или гипоэхогенных включений, с хорошей проницаемостью для ультразвука. На МРТ геморрагические кисты характеризуются высокой интенсивностью сигнала на Т1 FS сканах, при этом на Т2 ВИ дают гипоинтенсивный сигнал. При допплерографии внутренний кровоток отсутствует, компонент, накапливающий контраст, внутри кисты на КТ или МРТ не определяется. Стенка геморрагической кисты имеет вариабельную толщину, часто с наличием сосудов, расположенных циркулярно. Несмотря на то, что геморрагические кисты обычно проявляются острой болевой симптоматикой, они могут быть случайной находкой у пациентки, не предъявляющей никаких жалоб.
На сонограммах определяется геморрагическая киста со сгустком крови, имитирующим новообразование. Тем не менее, при допплерографии внутреннего кровотока в кисте не выявлено, а проницаемость ее для ультразвука не снижена.


МР-картина геморрагической кисты яичника: в режиме Т1 ВИ без жироподавления определяется комплексная киста, характеризующаяся гиперинтенсивным сигналом, который может быть обусловлен как жировым компонентом, так и кровью. На Т1 ВИ с жироподавлением сигнал остается гиперинтенсивным, что позволяет подтвердить наличие крови. После введения контраста на основе препаратов гадолиния не наблюдается контрастного усиления, что позволяет подтвердить геморрагический характер кисты яичника. Кроме того, в дифференциально-диагностический ряд необходимо включать эндометриому.

На УЗИ в обоих яичниках определяется мягкотканный (солидный) компонент. Тем не менее, проницаемость для ультразвука с обеих сторон не нарушена, что позволяет предположить наличие геморрагических кист. При допплерографии (не представлена) кровоток в образованиях отсутствует.
Как отличить геморрагическую кисту на МРТ? В режиме Т1 в обоих образованиях определяется компонент с высокими сигнальными характеристиками (жир, кровь или жидкость, богатая белком). При жироподавлении интенсивность сигнала не уменьшается, что в целом позволяет исключить тератому, содержащую жировую ткань, и подтвердить наличие геморрагической жидкости.
Способы лечения кист яичников
Лечение кист проводится двумя способами – консервативно, то есть с помощью лекарственных препаратов, и оперативно, то есть хирургически.
Консервативная терапия
Консервативная терапия в данном случае основана на применении гормональных препаратов. С целью лечения кист широко используются гормональные контрацептивы, чаще всего прописывается МАРВЕЛОН.
Гормональные противозачаточные средства назначаются для лечения функциональных кист яичников и в послеоперационном периоде после удаления остальных кист яичников для профилактики их повторного образования.
При эндометриоидных кистах яичников в послеоперационном периоде с целью профилактики рецидива обычно применяются гормональные средства, вызывающие искусственную менопаузу.
Хирургическое лечение
Оперативное лечение при функциональных кистах требуется только в случае появления осложнений, таких как разрыв кисты или перекрут. При органических кистах чаще всего необходимо проведение хирургического вмешательства.
Операции по удалению кист яичников выполняются лапароскопическим доступом (специальными инструментами, введенными в живот через маленькие разрезы под контролем видеокамеры). Лапароскопия возможна также и во время беременности, при возникновении осложнений со стороны кисты яичника. Лишь при больших размерах кист требуется делать разрез на передней брюшной стенке.
Особенностью операций на яичниках является удаление кисты или опухоли в пределах здоровых тканей, то есть ткань яичника, в которой содержится множество фолликулов, должна остаться в целости и сохранности, а кисту вместе с ее капсулой аккуратно «вынимают» из яичника. В редких случаях проводят так называемую резекцию яичника, то есть удаление его части. Если размеры кист очень большие, то в некоторых ситуациях ткани яичника практически не удается найти. В этом случае удаляется весь яичник.
После оперативного лечения лапароскопическим доступом женщина быстро восстанавливается, обычно через неделю после операции она уже может выйти на работу.
Ведение беременности при кисте яичника
Планирование беременности, как правило, зависит от вида кисты. Чаще всего зачатие рекомендуется через 3-6 месяцев после операции.
Во время беременности за кистами яичника наблюдают при помощи УЗИ и доплеровского исследования – изучения кровотока в яичнике и в кисте, контроля маркера опухолевых заболевания СА-125, концентрация которого резко увеличивается, если киста перерождается в злокачественную опухоль.
При необходимости хирургического лечения во время беременности, наиболее безопасно проведение лапароскопии на 16-18 неделе.
Профилактика появления кист яичников
Для профилактики возникновения кист большое значение имеют своевременная диагностика и лечение заболеваний щитовидной железы, а также нормализация веса, поскольку это поможет избежать гормональных нарушений в организме женщины.
Важно соблюдение личной гигиены и предупреждение воспалительных заболеваний матки и яичников, а также болезней, передающихся половым путем. Нередко кисты яичников могут возникать после абортов
Нередко кисты яичников могут возникать после абортов.
Как проводится диагностика?
Регулярное посещение врача позволяет постоянно контролировать самочувствие девушки в положении. На протяжении всех 9 месяцев доктор должен наблюдать беременную, проводить лабораторное и инструментальное исследования. В первом триместре при значительных размерах новообразования доктор может заметить асимметрию живота и определить округлое образование в области проекции маточного придатка.
С помощью ультразвукового исследования определяется диаметр, локализация, эхогенность новообразования. Уже на этом этапе можно сделать предварительные выводы по поводу этой патологии. Для уточнения диагноза проводятся также дополнительные инструментальные методы диагностики.
Чтобы исключить злокачественность процесса, назначается лапароскопическая биопсия. Полученный биологический материал исследуют гистологическим методом. Также проверяется кровь беременной на изменение в ней концентрации гормонов и наличие онкомаркеров.
УЗИ при внематочной беременности: что позволяет увидеть
Внематочная беременность — это развитие эмбриона не в полости матки, а в непредназначенном для этого органе. В большинстве случаев прикрепление плодного яйца происходит внутри одного из придатков. Опасность состоит в том, что при более поздних сроках плодное яйцо разрывается, гной попадает в кровь, начинается сепсис.
Чем раньше обнаружена патология, тем меньше пострадает здоровье женщины. Максимальный срок, при котором устранение эктопической (внематочной беременности) возможно нехирургическим путём — 6 недель. Поэтому к врачу стоит обратиться при малейшем подозрении на внематочную.
Не всегда эктопическая беременность проявляет себя особенным образом. Порой женщина узнаёт о ней в кабинете у гинеколога, куда она обращается из-за болей внизу живота, кровотечений и повышенной температуры. Чтобы развеять все сомнения, врач направляет пациентку на УЗИ. Трансабдоминальное УЗИ будет неэффективным, потому что на ранних сроках не видит патологии. При диагностике ВМБ врач использует трансвагинальный датчик. Он позволяет прицельно исследовать возможную область прикрепления плодного яйца — фаллопиевы трубы, область таза, заднюю поверхность матки.
При внематочной беременности на мониторе врач видит овальное новообразование внутри придатка, внутри которого находится желточный мешок. Чтобы не ошибиться и не принять ВМБ за другое новообразование (гидросальпинкс), дополнительно проводится цветное картирование — отображение на мониторе зоны снабжения плодного яйца кровеносными сосудами. Узист делает соответствующие снимки и делает заключение.
В подтверждении диагноза специалист с помощью УЗИ может проанализировать косвенные признаки ВМБ:
- размеры матки, не соответствующие беременности;
- скопление жидкости в малом тазу;
- кровяные сгустки в полости матки (ложное плодное яйцо);
- аномалии эндометрия;
- увеличенная шейка матки при шеечной беременности;
- при брюшной ВМБ врач видит увеличенную толщину плаценты, практически не видит стенку матки.
До 12 недель яичниковую ВМБ определить невозможно, потому что плодное яйцо похоже на фолликулу. Однако опытный врач увидит аномалию.
Неопытные врачи, применяя УЗИ аппараты старого поколения, путают ВМБ с другими заболеваниями:
- с перекруткой фаллопиевых труб или яичника;
- кистой жёлтого тела;
- разрывом кисты;
- различными новообразованиями;
- гидросальпинксом.
Наиболее оптимальный срокам выявления ВМБ —4-6 недель. В этом случае проблема устраняется медикаментозно, и женщине не проводится хирургическое вмешательство. На более поздних сроках делают лапароскопию или полосную операцию. Это несёт более серьёзные последствия: образование рубцов и спаек на придатках, воспаления и т.п.
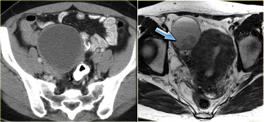
Эндометриоидная киста яичника (эндометриома)
Кистозный эндометриоз (эндометриома) является разновидностью кисты, сформированной тканью эндометрия, прорастающей в яичник. Эндометриомы обнаруживаются у женщин репродуктивного возраста, могут обуславливать длительно беспокоящую боль в области таза, связанную с менструацией. Приблизительно у 75% пациенток, страдающих эндометриозом, происходит поражение яичников. На УЗИ признаки эндометриомы могут разниться, однако в большинстве случаев (95%) эндометриома выглядит «классическим» однородным, гипоэхогенным кистозным образованием с наличием диффузных низкоуровневых эхогенных участков. Редко эндометриома бывает анэхогенной, напоминая функциональную кисту яичника. Кроме того, эндометриомы могут быть многокамерными, в них могут обнаруживаться перегородки различной толщины. Приблизительно у трети пациенток при тщательном исследовании обнаруживаются мелкие эхогенные очаги, прилежащие к стенке, которые, возможно, обусловлены наличием скоплений холестерина, однако также могут представлять собой сгустки крови или дебрис
Важно отличить эти очаги от истинных узловых образований стенки; при их наличии диагноз эндометриомы становится крайне вероятным

На трансвагинальной сонограмме визуализируется типичная эндометриома с гиперэхогенными очагами в стенке. На допплерограмме (не показана) в этих очагах не удалось обнаружить кровеносные сосуды.
Эндометриоидная киста яичника: МРТ (справа) и КТ (слева). Компьютерная томография используется преимущественно с целью подтверждения кистозного характера образования. МРТ обычно может применяться с целью лучшей визуализации кист, плохо дифференцируемых при УЗИ.
На МРТ геморрагическое содержимое внутри эндометриомы приводит к повышению интенсивности сигнала на Т1 ВИ. На Т1 ВИ с жироподавлением эндометриома остается гиперинтенсивной в отличие от тератом, которые также гиперинтенсивны на Т1 ВИ, но гипоинтенсивны на Т1 FS. Эта последовательность (Т1 FS) всегда должна дополнять МР-исследование, поскольку позволяет обнаружить мелкие очаги, гиперинтенсивные на Т1.
Cиндром поликистозных яичников
Методы лучевой диагностики позволяют как предположить синдром поликистозных яичников (СПКЯ), также называемый синдромом Штейна-Левенталя, либо используются для подтверждения диагноза.
Лучевые критерии СПКЯ:
- Наличие 10 (и больше) простых периферических кист
- Характерный вид «нитки жемчуга»
- Увеличение яичников (в то же время у 30% пациенток они не изменены в размерах)
Клинические признаки синдрома поликистозных яичников:
- Гирсутизм (повышенное оволосение)
- Ожирение
- Нарушение фертильности
- Акне
- Рост волос (облысение) по мужскому типу
- Или повышение уровня андрогенов


Как выглядит поликстоз яичников? Слева на МР-томограмме определяется типичная картина в виде «нитки жемчуга». Справа у пациентки с повышенным содержанием андрогенов в крови визуализируется увеличенный яичник, а также множественные мелкие простые кисты, расположенные по периферии. Очевидным является сопутствующее ожирение. У этой пациентки МРТ позволяет подтвердить диагноз СПКЯ.
Цистаденома и цистаденофиброма яичника
Данные образования также являются распространенными кистозными опухолями яичников (кистомами), которые могут быть как серозными, так и муцинозными (слизистыми). На УЗИ муцинозная цистаденома чаще представляет собой анэхогенное однокамерное образование, которое может напоминать простую кисту. Муцинозные цистаденомы чаще состоят из нескольких камер, в которых может обнаруживаться комплексная жидкость с включениями белкового дебриса или крови. «Сосочковые» выпячивания на стенках позволяют предположить возможное злокачественное образование (цистаденокарциному).

Кистома яичника на УЗИ. При трансвагинальном исследовании (вверху слева) определяется киста левого яичника размером 5,1х5,2 см (анэхогенная и без перегородок). Тем не менее, на задней стенке кисты обнаруживается узел без признаков внутреннего кровотока при допплерографическом исследовании (вверху справа); дифференциально-диагностический ряд при этом включает фолликулярную кисту, скопление дебриса, кистозное новообразование. На МРТ (внизу) в образовании определяются тонкие перегородки, накапливающие контраст. Опухолевых узлов, лимфаденопатии, метастазов в брюшину не выявлено. Определяется минимальное количество асцитической жидкости. Образование было верифицировано как цистаденома при биопсии.

Кистома яичника: МРТ. На МР-томограммах, выполненных той же пациентке пять лет спустя, образование выросло. На Т2 ВИ визуализируется комплексная киста в левом яичнике с солидным узлом со стороны задней стенки. После введения контраста на Т1 FS определяется легкое усиление интенсивности сигнала от тонких перегородок и узла в стенке. Данные МРТ не позволили дифференцировать доброкачественное (напр., цистаденому) и злокачественное новообразование яичника. При гистологическом исследовании резектата подтвердилась цистаденофиброма.
Диагностика заболевания
Основным методом диагностики этого заболевания является УЗИ. Конечно, хороший врач должен заподозрить наличие этого заболевания уже во время гинекологического осмотра и опроса. Но проблема в том, что подобная симптоматика встречается при многих заболеваниях половой системы, поэтому более детальное обследование должно дифференцировать миому от прочих патологий. Можно ли в таком случае перепутать миому с беременностью?
Немного неразберихи добавляет тот факт, что размер миомы обычно оценивается в неделях беременности. Такая оценка происходит потому, что рост матки может происходить только в этих двух случаях. И в прошлом, когда диагностика была не на самом высоком уровне, качество изображения на УЗИ не всегда делало возможным точную постановку диагноза. При этом разные врачи могли поставить разные сроки – кто-то говорил, что миома соответствует 11 неделе беременности, другой врач ставил срок 8 недель. Неразберихи добавляло и то, что миома в отличие от беременности, растет неравномерно и растягивает тело матки по-разному.
Подробнее о классификации размеров миомы в неделях >>
При постановке диагноза врачу важно дифференцировать миому от следующих состояний:
- опухоль яичника,
- злокачественные новообразования в матке,
- воспалительные процессы в придатках,
- беременность,
- эндометриоз,
- выкидыш.
И если при появлении некоторых симптомов можно перепутать миому с вышеперечисленными состояниями, то обследование при помощи УЗИ, МРТ и лабораторных анализов должно показать врачу реальную картину.

Серозная цистаденокарцинома

На УЗИ определяется комплексное кистозно-солидное образование в левом яичнике, и другое комплексное образование большого размера, содержащее как солидный, так и кистозный компонент, в правой половине таза

На КТ у этой же пациентки определяется комплексное кистозно-солидное образование с утолщенными перегородками, накапливающими контраст, в правом яичнике, крайне подозрительное на злокачественную опухоль. Также имеет место двухсторонняя тазовая лимфаденопатия (стрелки). При гистопатологическом исследовании подтвердилась серозная цистаденокарцинома яичника (наиболее часто встречающийся вариант)

КТ и фотография макропрепарата серозной цистаденокарциномы яичника.

На УЗИ (слева) видно большое многокамерное кистозное образование в правом параметрии; некоторые из камер анэхогенны, в других визуализируются равномерные низкоуровневые эхогенные включения, обусловленные белковым содержимым (в данном случае муцином, однако аналогично могут выглядеть и кровоизлияния). Перегородки в образовании в основном тонкие. Кровотока в перегородках не выявлено, солидный компонент также отсутствует, признаков асцита не определяется. Несмотря на отсутствие кровотока при допплерографии и солидного компонента, размер и многокамерная структура этого образования позволяют заподозрить кистозную опухоль и порекомендовать другие, более точные методы диагностики. На КТ с контрастным усилением (справа) определяются схожие изменения. Камеры образования имеют различную плотность, соотносящуюся с разным содержанием белка. При гистопатологическом исследовании подтвердилась муцинозная цистаденокарцинома с низким потенциалом злокачественности.
Что такое киста, ее симптомы
Киста яичника – доброкачественное образование, как правило, гормонального характера. Некоторые виды кист, например, функциональные, образуются перед овуляцией и с приходом менструации рассасываются сами собой. Некоторые же новообразования самостоятельно не проходят, требуют лечения, в основном гормонального, а в некоторых случаях – хирургического.
Какой бы вид кисты не был диагностирован, при этом новообразовании женщина ощущает следующие симптомы:
- Боли внизу живота с той стороны, где новообразование локализуется. Например, если болезненность справа свидетельствует и кисте правого яичника. Может присутствовать чувство вздутия живота, как после жирной и тяжелой пищи.
- Боли или дискомфорт во время полового акта. Может наблюдаться снижение или увеличение полового влечения (либидо).
- Если киста яичника достигает больших размеров, она начинает давить на соседние органы, поэтому может ощущаться потребность чаще мочиться (если происходит давление на мочевой пузырь), сбои в работе желудочно-кишечного тракта в виде запоров или диареи. Иногда появляется тошнота или даже рвота (редкий симптом).
- В некоторых случаях присутствует слабость, сонливость, общее недомогание.
Главным признаком наличия кисты является расстройство менструального цикла. Так как кисты носят гормональный характер, то овуляция может не наступать вовсе или приходить с задержкой. Работа яичников сбивается (так как вместо желтого тела на яичнике локализуется киста) и в итоге, вместо обычных месячных женщина наблюдает мажущие выделения. Существуют и другие специфические признаки новообразования, указывающие на гормональный характер течения заболевания:
- наличие акне, особенно в районе подбородка;
- увеличение массы тела;
- повышенная жирность кожи и сальность волос.
Причины недостоверности УЗИ
Случаи ошибочной постановки диагноза по УЗИ не так часты, но все же известны в врачебной практике. Причин этому может быть несколько:
- Неисправность аппаратуры – частый случай, при котором неисправным может быть как ультразвуковой датчик, так и экран. В обоих случаях картина органов малого таза будет смазанной.
- Недостаточная квалификация или невнимательность УЗИ-специалиста.
- Наличие воспалительного процесса в яичниках или матке. При воспалении эти органы будут увеличены, поэтому можно спутать несколько заболеваний.
- Некоторые виды кист, например, дермоидные, на УЗИ видны не всегда. Но при их наличии матка будет увеличена, а эндометриальный слой утолщен. В этом случае очень легко кисту принять за беременность.
- Обратная ситуация, когда беременность принимают за кисту – низкое содержание гормона ХГЧ. Это бывает в том случае, когда сроки беременности ранние, яйцеклетка только оплодотворилась, а яичник, из которого она вышла – увеличен. Плод в этом случае еще пока не видно, а увеличившийся яичник принимают за кисту.
- Матка может быть отечной почти во всех случаях наличия кист. Если при беременности процесс увеличения матки является физиологической нормой, подготовкой к вынашиванию и рождению ребенка, то при кисте это будет патологией.
Если врачи все-таки перепутали диагнозы или у самой пациентки есть какие-либо сомнения в достоверности анализов, ей следует пройти повторное обследование через неделю или две, в другой день цикла.
Если киста все же подтвердится, это не повод отчаиваться. В большинстве случаев такие новообразования лечатся без хирургического вмешательства, при помощи гормональной терапии, или даже проходят самостоятельно через несколько циклов. После полного излечения велика вероятность беременности.
Смотрите шокирующую историю о том, как врачи перепутали кисту яичника с двойней:
https://youtube.com/watch?v=QRkRzryrMCk
Обследования и анализы
По одним только внешним проявлениям и ощущениям пациентки диагноз ставить нельзя. Нужно провести комплексное обследование, которое в себя включает несколько этапов:
- Тест на беременность. При подозрении беременности первое, что можно предпринять самостоятельно – сделать экспресс-тест на наличие гормона ХГЧ.
В некоторых случаях тест может дать ложноположительный результат:
- при приеме некоторых гормональных препаратов, стимулирующих овуляцию (если женщина проходит лечение от бесплодия);
- если тест проводится после выкидыша, аборта, хирургического удаления внематочной беременности, то гормон ХГЧ может сохраняться в крови еще пару месяцев.
Ложноотрицательный результат бывает, когда зачатие произошло незадолго до начала менструации, если срок уже более 12 недель, при внематочной беременности и угрозе прерывания. Также возможны ошибки при чрезмерном употреблении жидкости или мочегонных препаратов. Результаты теста могут оказаться ошибочными, если он просроченный, некачественный, каким-либо образом поврежден.
Обычно результаты не зависят от времени суток, но многие специалисты советуют проводить его с утра для более точных результатов.
- Анализ крови на гормоны в целом и наличие ХГЧ в частности поможет составить более точную картину – при кисте ХГЧ не вырабатывается, а изменение соотношения других гормонов может быть.
- Осмотр у гинеколога может показать увеличение размеров матки, если наступила беременность, или увеличение яичника, если на нем образовалась киста. Яичник может быть увеличен и вследствие воспалительного процесса – оофорита, поэтому врач берет мазки на определение наличия патогенной микрофлоры.
- Обязательно назначается ультразвуковое исследование (УЗИ), которое уже более точно помогает определить: киста или беременность у пациентки.
Может ли при кисте яичника быть задержка менструации?
Задержка менструации также является одним из основных симптомов кисты яичника. Сопутствующие симптомы для диагноза кисты яичника можно посмотреть в предыдущем разделе статьи.
В целом у женщин нередко встречаются нерегулярные менструальные циклы, что может быть обусловлено множеством причин. Обычно длительность цикла составляет от 21 до 35 дней. Считается, что задержка до 5 дней не является причиной для опасений, свыше этого времени – уже рекомендация проконсультироваться со своим гинекологом.
Очень часто нарушения менструального цикла и задержки менструаций вызывают функциональные кисты яичника (фолликулярная и киста желтого тела). Дело в том, что клетки, из которых состоят эти кисты, производят гормон прогестерон. Если он производится в чересчур больших количествах, то его эффект на организм во второй фазе цикла продлевается вплоть до задержки менструации (гормональный фон не может обеспечить своевременное отторжение эндометрия) или наоборот – кровотечения (из-за неравномерного отторжения эндометрия матки).
Часто задержки менструации начинают происходить за несколько месяцев до появления кисты, когда уже запущен патологический процесс формирования. Поэтому гинекологи часто прогнозируют скорое обнаружение кисты яичника, если менструации начали задерживаться без видимых причин и проблем со здоровьем. И задержки при этом необязательно должны быть долгими – 7 дней уже считаются опасным сигналом.
Именно поэтому при малейшем подозрении будет не лишним пройти гинекологический осмотр. Не стоит бояться, если врач порекомендует хирургическое удаление кисты яичника. Лучше сделать это своевременно щадящим методом лапароскопии и сохранить работоспособность яичника и репродуктивную функцию, чем игнорировать проблему и заработать проблемы со здоровьем, наименьшей из которых будет бесплодие.
Злокачественные кистозные опухоли яичников
Лучевые методы диагностики, такие как УЗИ или МРТ, не предназначены для определения гистологического типа опухоли. Однако с их помощью можно с той или иной степенью достоверности дифференцировать доброкачественные и злокачественные новообразования и определиться с дальнейшей тактикой ведения пациента. Обнаружение лучевых признаков злокачественного опухолевого роста должно нацелить лечащего врача (гинеколога, онколога) на дальнейшее активное выяснение характера кисты (оперативное вмешательство с биопсией, лапароскопия). В неясных и противоречивых случаях полезна повторная расшифровка МРТ малого таза, результате которой можно получить второе независимое мнение опытного лучевого диагноста.





































